【症例5】40代男性
40代男性。横浜市在住。右上3456の銀歯のブリッジを白くしたい。4本のジルコニアクラウン(4本症例)による審美治療。
-
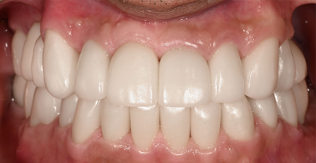
Before1
-
After1
-
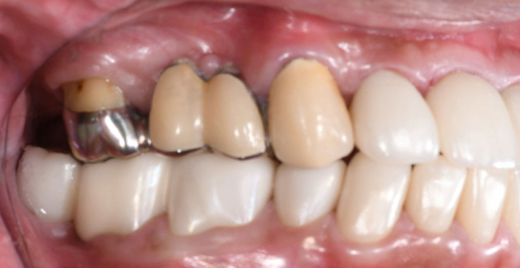
Before2
-
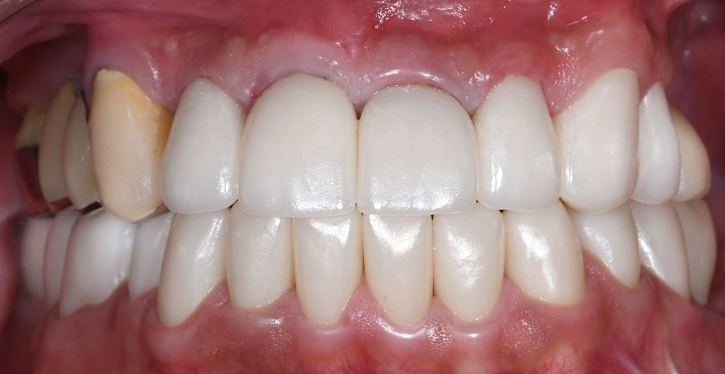
After2
-
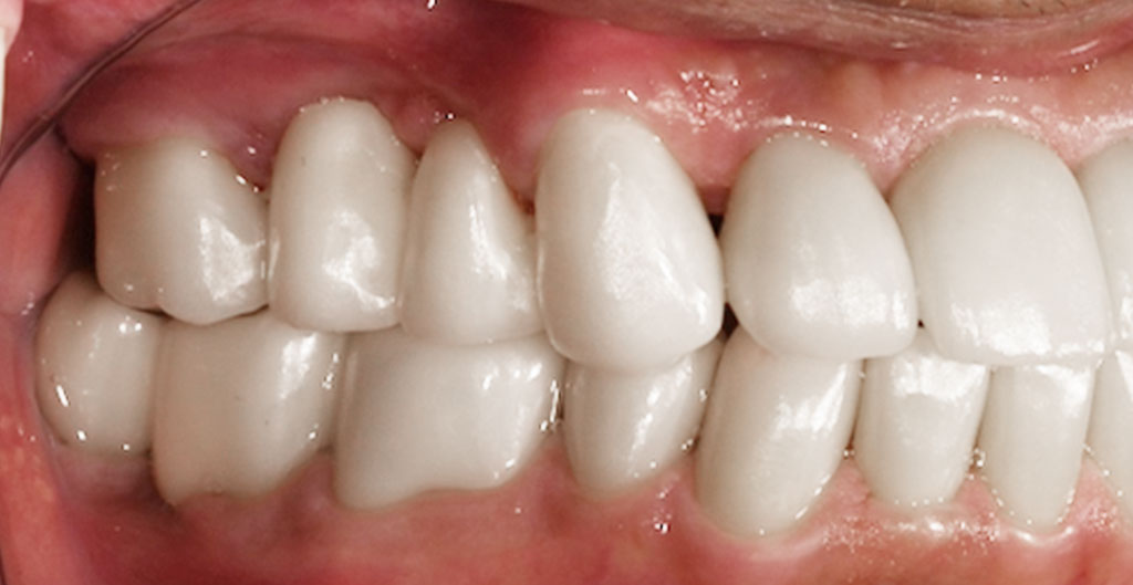
セットしたジルコニアクラウン
- 治療名称
- 右上3456番4本のジルコニアクラウンによる審美治療
- 患者の症状
- 40代男性。横浜市在住。右上3456の銀歯のブリッジがあり審美的に問題を抱えていたため、ご来院されました。
- 治療内容
- ジルコニアクラウンを装着するために銀歯のブリッジを外し、歯の形成を行い光学印象(プライムスキャンによる)型取りを行いました。光学印象のデータを元に当院の院内技工室にてデジタル加工を行い、ジルコニアクラウンを作成し、セットを行いました。
- 治療期間・回数
- 約1ヶ月間、2回
- 費用
※自由診療となります - 総額:440,000円(税込)
◼️内訳
ジルコニアクラウン:110,000円(税込)/1本×4本
光学印象(プライムスキャン)
- リスク・副作用
- 補綴物の脱落・欠落、咬合違和感、色調補正


