初回インプラント相談無料
戸 塚 駅 前 内 藤 歯 科 の 特 徴
神奈川県横浜市戸塚区にある戸塚駅前内藤歯科。横浜エリアでインプラント治療を中心に行う歯医者です。
世界シェアを誇るストローマン社インプラントを総額27.5万(税込)で提供。歯科用CTを用いた検査により、
骨の状態や神経の位置を正確に把握した上で、安全性と長期的な安定性を重視したインプラント治療です。
横浜で安心してインプラント治療を受けていただけるよう、
丁寧なカウンセリングとわかりやすい説明を心がけています。
もちろんインプラント治療だけでなく、むし歯や歯周病治療、セラミック治療などの幅広い歯科診療にも対応。
横浜でインプラント治療をご希望の方は、お気軽にご相談ください。
横浜や戸塚をはじめとする神奈川エリアから多くの患者様が来院される評判の歯医者です。
-
インプラント
世界的メーカーストローマン
インプラントが総額27.5万
(人工歯込み、税込)。
症例数は年間300症例以上。
(令和7年の1年間) -
審美歯科
院内デジタル技工室にて
ベテラン技工士が、
製作工程全てを院長監修の元、
人工歯を製作しております。 -
予防歯科
歯の治療を繰り返し後悔している方、歯を大切にしたい方の予防歯科。小さなお子さんと一緒に親子予防も推奨しています。
-
保険治療(一般歯科)
ベーシックな治療は保険治療を
お勧めしております。 -
初診の説明は丁寧に
治療の前にまずは丁寧な説明。
説明にはゆっくりと時間を
とります。ご納得いただいてからの治療となります。 -
経験豊富な歯科医師、
歯科衛生士様々な学会、スタディーグループ、戸塚区歯科医師会所属。
勉強熱心な歯科医師、
歯科衛生士で構成されています。 -
専門病院との連携
当院で難しい治療は適切な
高度医療機関に紹介できる体制が
ございます。 -
矯正歯科 小児歯科
矯正担当歯科医師による
矯正治療。
小児歯科にも対応しております。
適正価格で納得して選ばれる治療を Treatments that are chosen with confidence at reasonable prices
-
( 01 )
品質は落とさない
「ストローマンインプラント×純正アバットメント×ジルコニア人工歯」で、世界標準のエビデンスに基づいた治療法を順守します。
-
( 02 )
最小限の治療
欠損した部位に全てインプラントする必要はありません。
必要最小限の治療を提案します。 -
( 03 )
透明性の高いお見積り
インプラント相談で、全ての治療費をお見積りいたします。
後から追加費用が発生することはありません。



We want to make people happy through dental treatment.
歯科治療を通じて、
人を幸せにしたい。
そ の 想 い を 、 私 た ち は 日 々 本 気 で 考 え 続 け て い ま す 。
歯 科 治 療 は 、 高 い 技 術 力 と 科 学 的 根 拠 に 基 づ き 、
計 画 的 に 行 わ れ る べ き 医 療 で す 。
に も か か わ ら ず 、 そ う と は 言 え な い 治 療 が 少 な く な い の も 事 実 で す 。
厳 し い 言 い 方 か も し れ ま せ ん が 、
誇 り や 確 か な 技 術 に 裏 打 ち さ れ て い な い 治 療 を 、
患 者 様 に 勧 め る べ き で は あ り ま せ ん 。
患 者 様 は 、 私 た ち を 信 頼 し て 来 院 し て く だ さ い ま す 。
そ の 信 頼 を [ 希 望 ] に 、 そ し て [ 幸 せ ] へ と つ な げ る 。
そ れ が 、
私 た ち の 歯 科 医 院 の 在 り 方 で す 。
当院のインプラントの
特徴10選
-
Reason 01
納得いく
わかりやすい説明力まず今ある歯を残す方針を大切にします。しかしどうしても残せない場合にはインプラントも選択肢にする可能性があります。その際の、治療計画、手順、安全性、リスク、費用、回数、治療後のシュミレーション、その後の予防歯科まで詳しく説明いたします。
VIEW MORE
-
Reason 02
「世界的メーカー」
ストローマンインプラントのみを使用当院では、世界的メーカーのストローマン社製インプラントを採用しています。ストローマンは豊富な実績があり、多くの学術論文でもその信頼性が確認されています。治療に伴うリスクや注意点についても、事前に丁寧にご説明いたします。
VIEW MORE
-
Reason 03
シンプルで痛みの少ない治療を
目指しています当院では、CTなどによる精密診断を行い、骨の状態に合わせた最適な治療法をご提案します。条件が整う場合は、歯肉を切開しないフラップレス手術も積極的に採用し、肉体的負担の軽減に努めています。
VIEW MORE
-
Reason 04
インプラント周囲炎を
最小限に減らす術前検査レッドコンプレックスという細菌がいる場合、将来インプラント周囲炎に罹患する可能性が高いことがわかっています。当院ではインプラント手術前にPCR検査を行いリスクを診断して、必要があれば細菌を少なくしてからインプラントを行っています。
VIEW MORE
-
Reason 05
安心の10年保証
メインテナンスに通っている方に限りますが、10年保証をつけています。ストローマンインプラントの10年生存率は99%近くとベルン大学で報告されており、当院でも同水準の結果であるため長期保証が可能になっております。
治療後に保証書をお渡しいたします。VIEW MORE
-
Reason 06
最小限の治療計画
必要の部位に、最小限の本数で計画を立てます。世界標準のエビデンスを熟知した院長が20年以上の自らのインプラントの知識と経験をもとに治療計画を立てます。抜けた部分全てにインプラントをすれば良いというわけではありません。最小の本数で審美、噛み合わせを最大限に引き出します。
VIEW MORE
-
Reason 07
「メインテナンス性の高い」
スクリューリテインインプラントと人工歯の連結方法には、スクリューリテイン(ネジ固定式)とセメントリテイン(接着式)があります。当院では、清掃やメインテナンスがしやすく、インプラント歯周炎(周囲炎)のリスクを抑えやすいスクリューリテインを採用しています。
VIEW MORE
-
Reason 08
専用オペ室
インプラントオペ専用のオペ室完備。滅菌体制は万全。道具の配置、ディスプレイの位置、ライティングの角度、録画設備、血圧測定、スタッフの導線、機材が万が一故障した場合の予備の準備などインプラントをやるためにこだわったオペ室です。
VIEW MORE
-
Reason 09
アバットメントはストローマン社の
純正のものを提供インプラントとジルコニア人工歯を連結するパーツであるアバットメントはストローマン社製使用しております。純正品でないアバットメントは推奨されていませんし、トラブルのもとになる可能性があります。治療後に製品証明カードをお渡ししております。
VIEW MORE
-
Reason 10
院内で完結する
「デジタルコンピューティング技工」当院は院内デジタル歯科技工室3D LABOが併設されており、デジタル加工による精度の高い人工歯を最短当日~3日ほどで完成させることができます。口腔内への適合の良い人工歯を目指し、常駐歯科技工士と歯科医師が工程ごとに確認や打ち合わせを行っております。
VIEW MORE
症例紹介
実際の治療事例を
ご紹介します
-
Before
After
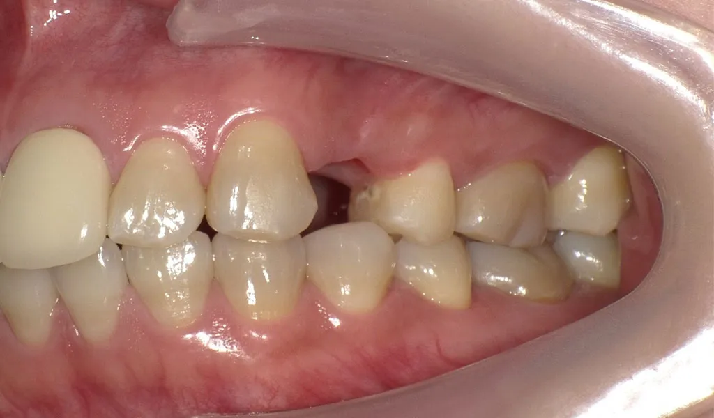
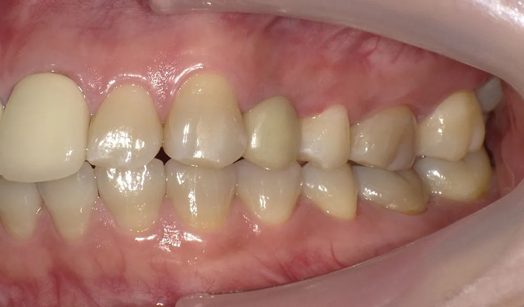
奥歯1本のインプラント治療
30代女性
治療期間:4ヶ月
費用:総額37.4万円(検査・診断・手術関連処置費用等を含む)
リスク:出血、腫脹、疼痛、神経麻痺、補綴物の脱落、破折、インプラント体の破折、咬合違和感、インプラント周囲炎など -
Before
After
奥歯2本のインプラント治療
30代女性
治療期間:4ヶ月
費用:総額64.9万円(検査・診断・手術関連処置費用等を含む)
リスク:出血、腫脹、疼痛、神経麻痺、補綴物の脱落、破折、インプラント体の破折、咬合違和感、インプラント周囲炎など -
Before
After
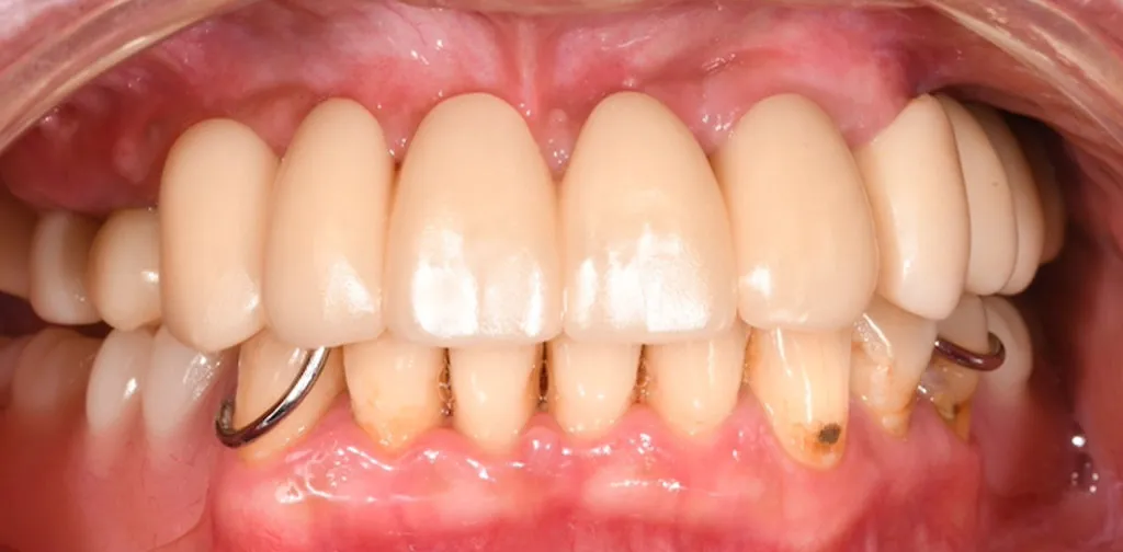
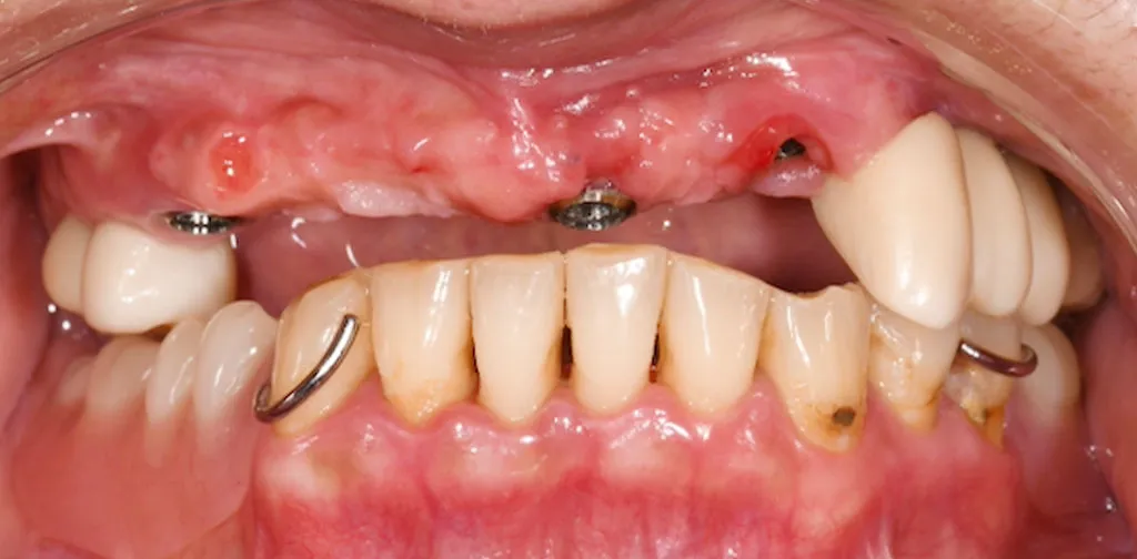
複数本のインプラント治療
50代女性
治療期間:4ヶ月
費用:総額120.4万円(検査・診断・手術関連処置費用等を含む)
リスク:出血、腫脹、疼痛、神経麻痺、補綴物の脱落、破折、インプラント体の破折、咬合違和感、インプラント周囲炎など
Photo Gallery フォトギャラリー
医療法人社団横浜歯友会
戸塚駅前内藤歯科
tel. 045-443-6014
休診日・矯正の日はお電話での対応をしておりません。
〒244-0003
神奈川県横浜市戸塚区戸塚町13 ラピス戸塚3 7F
JR戸塚駅 徒歩1分
横浜市営地下鉄ブルーライン 戸塚駅 徒歩1分
JR横浜駅から約12分
| 診療時間 | 月 | 火 | 水 | 木 | 金 | 土 | 日 | 祝 |
|---|---|---|---|---|---|---|---|---|
| 9:00~13:00 | / | 休 | ||||||
| 14:30~19:00 | / | 休 |
■=不定期診療、午後は14:00-17:00
※=矯正は月1回、午後は14:00-17:00
休診日:木曜(不定期)・日曜・祝日
最終受付は診療終了時刻の45分前まで