【症例31】50代女性
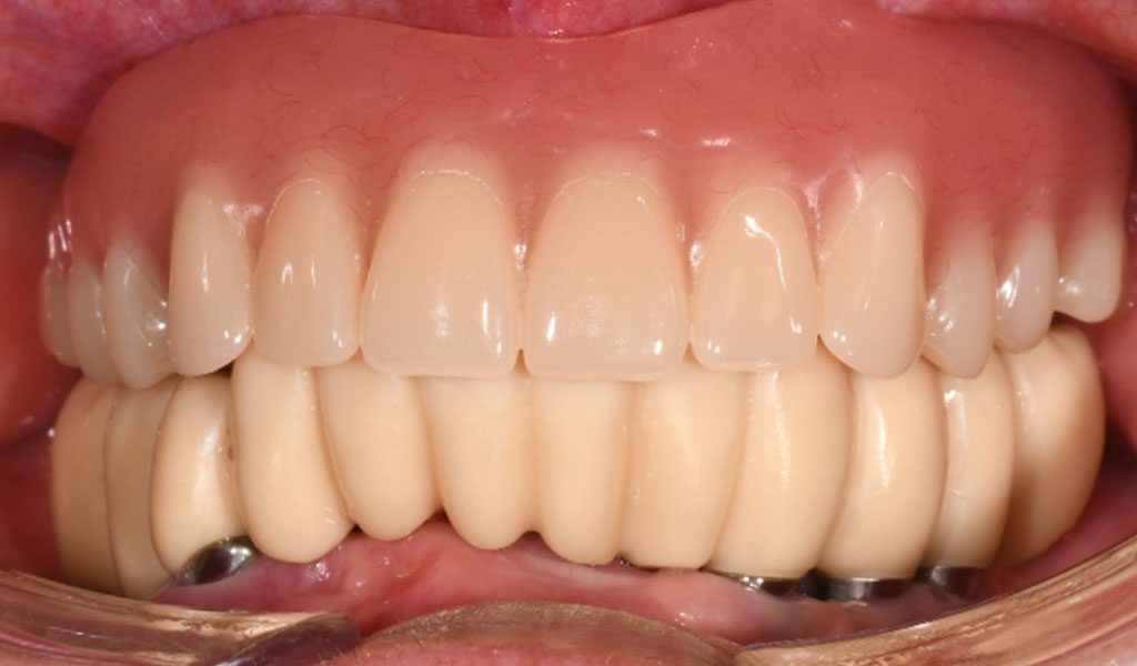
50代女性・横浜市在住。20年前に右上5,6番、左上4番を抜歯後放置していたが、インプラントを入れるために当院を受診。当院にてインプラント治療。人工歯はジルコニア人工歯。スクリューリテインにて固定しました。
-
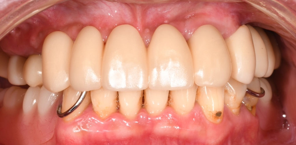
Before(右上5,6番)
-
After(右上5,6番)
-
Before(左上4番)
-
After(左上4番)
- 治療名称
- 右上5,6番、左上4番インプラント治療
- 患者の症状
- 50代女性・横浜市在住。20年前に右上5,6番、左上4番を抜歯後放置していたが、インプラント治療を希望されて来院。
- 治療内容
- 術前検査(歯周病菌の検査(PCR検査))を行ったところ、Pg菌、Td菌、Tf菌の数値は問題なし。
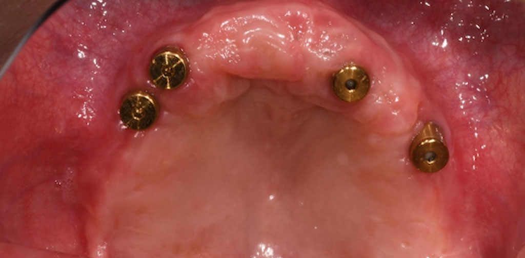
当院にて、フラップレス手術にて、右上5,6番、左上4番の骨にインプラントを埋め込みました。インプラントと骨がしっかり結合するまで術後3ヶ月待ち、インプラントの上に人工の歯を被せる治療を行いました。
- 治療期間・回数
- 約4ヶ月間、7回
- 費用
※自由診療となります - 総額841,500円(検査・診断・手術関連処置費用等を含む)
インプラントのみ:275,000円/1本×3=825,000円
◼️内訳
術前検査(PCR検査):16,500円
(右上5,6番、左上4番)インプラント埋め込み・上部構造:275,000円/1本×3=825,000円
- リスク・副作用
- 出血、腫脹、疼痛、神経麻痺、補綴物の脱落、破折、インプラント体の破折、咬合違和感、インプラント周囲炎など


