親知らずの抜歯
目次
親知らずとは、正中から数えて8番目の歯のことです。「第三大臼歯」や「智歯(ちし)」とも呼ばれ、多くの場合10代後半から20代前半にかけて生えてきます。
親知らずという名前の由来には諸説ありますが、もっとも一般的なのは「7番までの歯が生え揃うのは14歳頃で、親は子どもの7番までは知っているが、8番が生えてくる頃には知らない」という説です。海外では「wisdom tooth(知恵の歯)」と呼ばれ、物事の分別がつく年齢になってから生える歯という意味を持っています。
当院では、親知らずがあるからといって、必ずしも抜歯をお勧めするわけではありません。CT診断で親知らずの状態や周囲の神経との位置関係を確認し、抜歯が必要と判断される場合のみ、患者様にご提案しています。
親知らずとは

人間の歯は、正中(中心)から1番・2番・3番と番号がついており、8番まであります。この8番目の歯が親知らずです。
すべての方に親知らずがあるわけではなく、現代人の約4人に1人は親知らず自体が存在しないとされています。これは、食文化の変化により咀嚼に必要な筋力が衰え、顎骨が小さくなってきたことが理由と考えられています。
親知らずは上下左右に最大4本存在しますが、4本すべてが揃っている方もいれば、1本もない方、途中まで生えて止まっている方など、状態はさまざまです。
親知らずでこんなお悩みはありませんか
- 親知らず周辺の歯肉が腫れる、痛みがある
- 何度も炎症を繰り返してつらい
- 手前の歯まで虫歯になりそうで心配
- 矯正治療のために抜歯が必要と言われた
- 横向きに生えていて、このままで大丈夫か不安
- 抜くべきかどうか、CT診断で確認してから決めたい
当院の親知らず抜歯における考え方
当院では、親知らずが4本あっても、横向きに生えていても、必ずしも抜歯をお勧めするわけではありません。条件が揃えば、一生埋まったままで害がない場合も少なくないからです。
抜歯をご提案するのは、以下のような場合です。智歯周囲炎を繰り返している場合、手前の7番の歯が虫歯になるリスクが高い場合、歯科矯正治療のために抜歯が必要な場合などです。
当院では、CT診断により親知らずの向きや位置、周囲の神経との距離を事前に確認します。これにより、抜歯の難易度やリスクを正確に把握し、患者様に丁寧にご説明した上で治療方針を決定しています。
また、抜歯のタイミングについても、患者様の体調や生活リズムを考慮してご相談させていただきます。「若いうちに抜いた方がいい」という声もありますが、抜く理由がない限り、様子を見るという選択肢もあります。
親知らずを抜く理由
智歯周囲炎を繰り返している
智歯周囲炎とは、親知らず周辺の歯肉が炎症を起こす症状のことです。7番と親知らずの間に清掃が難しいスペースができてしまい、食べ物や細菌が入り込むことで歯肉が腫れます。
症状としては、歯肉の腫れ、痛み、膿が出る、発熱、口が開きにくくなる、食事が摂りにくくなるなどがあります。一度おさまっても、体調が悪くなったり免疫力が下がったりすると再発を繰り返す傾向があります。
さらに我慢してしまうと、炎症が顎の下から首の方まで進行し、頬部蜂窩織炎(きょうぶほうかしきえん)という状態になることもあります。この段階になると、水を飲むことすら難しくなる場合があります。
智歯周囲炎を繰り返す場合には、親知らずの抜歯がもっとも有効な解決策となります。実際、親知らずを抜く理由の第一位がこの智歯周囲炎です。
手前の歯を虫歯にしてしまう
親知らずと7番の間は歯ブラシが届きにくく、虫歯が発生しやすい場所です。親知らずが虫歯になるだけでなく、大切な7番の歯が虫歯になってしまうリスクがあります。
7番を虫歯にしてしまうのは大きな問題です。歯科医師が7番の虫歯リスクが高いと判断した場合には、予防的に親知らずを抜歯することをお勧めする場合もあります。
歯科矯正治療のため
歯科矯正を行う方は、矯正の主治医から親知らずの抜歯をお勧めされる場合があります。これは、親知らずが前方の歯を押して、せっかく整えた歯並びを乱してしまう可能性があるためです。
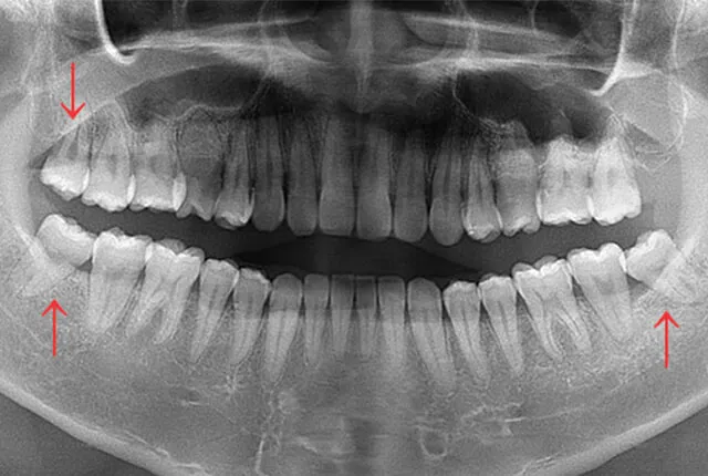
親知らず抜歯の種類
まっすぐ生えている親知らず
普通に生えている「まっすぐな親知らず」の抜歯は、それほど大変な処置にならないことが多いです。親知らず以外の歯を抜くのと同じ「通常抜歯」と同じレベルで抜ける場合が多く、抜歯時間の目安は上顎で1分程度、下顎でも5〜10分程度です。
ただし、外科処置ですので術後に痛みや腫れが出る可能性はあります。まっすぐな親知らずだからといって、極端に簡単というわけではありませんが、過度に恐れる必要もないと考えています。
下顎の横向き親知らず

下顎の横向きの親知らずは、抜歯の難易度が高くなります。これは、親知らずが手前の7番にぶつかっているため、そのままでは抜けないからです。
この場合、歯を削る機械を使って親知らずの頭と根を分割し、頭の部分を先に取り出してから、残った根を抜いていきます。分割の回数は歯の状態によって異なり、1回で済む場合もあれば、3〜4分割が必要な場合もあります。
抜歯にかかる時間は15〜30分程度ですが、診察室に入ってから出るまでは1時間程度かかるとお考えください。術後は痛みや腫れが強く出る場合があり、4〜7日程度続くこともあります。
上顎の横向き親知らず

上顎の親知らずでも、まれに横向きに生えている場合があります。下顎の横向き親知らずほど頻繁には見られませんが、まっすぐな親知らずよりも外科的難易度は高くなります。
親知らず抜歯後に起こりうる症状
腫れ
親知らずを抜いた後は、程度の差はありますが腫れが起こります。これは、傷を早く治そうと血液が集まってくるためで、生命活動が活発な若い方ほど腫れの症状が顕著になりやすい傾向があります。
腫れは数日から1週間程度続きます。大きく腫れていても痛みを感じない場合もあれば、痛みを伴う場合もあります。
痛み
抜歯後の痛みは数日間続くのが一般的です。痛みの強さには個人差があり、ほとんど痛みを感じない方から、痛み止めを飲んでもあまり効かないという方までさまざまです。
ただし、こうした急性症状は必ず治まりますので、過度にご心配なさらないでください。
ドライソケット
ドライソケットとは、親知らずを抜いた後の穴に細菌が感染し、良好な血餅ができずに激烈な痛みを伴う症状のことです。2週間から、場合によっては1か月以上の長期にわたって続く場合があります。
下顎の横向きの親知らず抜歯後に発症することが多く、発症確率は15〜25%程度とされています。ドライソケットを完全に予防する方法は現在のところありませんが、発症確率を下げるには良好な血餅を早期に作ることが大切です。
抜歯後は、強いうがいを避ける、患部に歯ブラシをかけない、傷口を押したり触ったりしない、運動・飲酒・入浴など心拍数が上がる行為を控えるなどの注意が必要です。
下歯槽神経麻痺
下顎の親知らずを抜いた際、親知らずの近くにある下歯槽神経を損傷してしまった場合に起こる神経麻痺です。発症確率は0.5%〜数%とされています。
下歯槽神経麻痺を起こすと、麻酔がかかっているような下唇の知覚の麻痺が残ります。時間の経過とともに麻痺の範囲は徐々に狭まっていく傾向があります。
上顎洞との交通
上顎の親知らずを抜いた場合、鼻の横にある上顎洞という空洞と抜歯窩が繋がってしまうことがあります。通常は縫合して傷口が治癒すればふさがりますが、傷口が治るまでは鼻を強くかまないようにご注意ください。
全身麻酔・静脈内鎮静法について

当院での親知らず抜歯は、局所麻酔のみで行っています。局所麻酔には、歯の横に打つ浸潤麻酔と、下歯槽神経の根元に打つ伝達麻酔の2種類があり、下顎の親知らずには伝達麻酔を使用します。
伝達麻酔は効果が強いため、抜歯中に痛みを感じにくいと考えています。ただし、智歯周囲炎の腫れが強い場合には麻酔が効きにくいこともあります。
恐怖心が強い方や嘔吐反射の強い方で、全身麻酔や静脈内鎮静法を希望される場合には、大学病院や総合病院の口腔外科をご紹介しています。
親知らず抜歯に関するよくあるご質問
- 親知らずは必ず抜かなくてはいけないのでしょうか?
- いいえ、必ずしも抜く必要はありません。親知らずが4本あっても、横向きに生えていても、条件が揃えば一生埋まったままで害がない方も少なくありません。抜歯をお勧めするのは、智歯周囲炎を繰り返している、7番が虫歯になるリスクが高い、歯科矯正治療のために必要、といった理由がある場合です。
- 麻酔はどのようにしますか?
- 当院では局所麻酔を使用します。表面麻酔をしてから、親知らず周囲に麻酔液を注入する浸潤麻酔、さらに強力な伝達麻酔を行います。全身麻酔や静脈内鎮静法は当院では行っておりませんが、ご希望の場合は大学病院や総合病院の口腔外科をご紹介しています。
- 抜歯後はどのくらい痛みますか?
- 個人差がありますが、抜歯後当日は痛みを感じる方が多く、3日間程度は痛みが続く場合があります。腫れは4〜7日程度続くことがあります。痛み止めを処方しますので、指示に従ってご使用ください。
- 抜歯にかかる時間はどれくらいですか?
- まっすぐな親知らずの場合、上顎で1分程度、下顎で5〜10分程度です。下顎の横向き親知らずの場合は15〜30分程度かかります。診察室に入ってから出るまでは、1時間程度とお考えください。
- 費用はどのくらいかかりますか?
- 保険診療(3割負担)の場合、簡単なもので2,000円程度、難しいもので6,000円程度です。CT撮影が必要な場合は別途費用がかかります。
- 抜歯後の注意点は?
- 抜歯後はガーゼをしっかり噛んで止血してください。強いうがいは避け、患部に歯ブラシをかけないようにしてください。また、運動・飲酒・入浴など心拍数が上がる行為は控えてください。傷口を押したり触ったりしないことも大切です。
医療法人社団横浜歯友会
戸塚駅前内藤歯科
tel. 045-443-6014
休診日・矯正の日はお電話での対応をしておりません。
〒244-0003
神奈川県横浜市戸塚区戸塚町13 ラピス戸塚3 7F
JR戸塚駅 徒歩1分
横浜市営地下鉄ブルーライン 戸塚駅 徒歩1分
JR横浜駅から約12分
| 診療時間 | 月 | 火 | 水 | 木 | 金 | 土 | 日 | 祝 |
|---|---|---|---|---|---|---|---|---|
| 9:00~13:00 | / | 休 | ||||||
| 14:30~19:00 | / | 休 |
■=不定期診療、午後は14:00-17:00
※=矯正は月1回、午後は14:00-17:00
休診日:木曜(不定期)・日曜・祝日
最終受付は診療終了時刻の45分前まで