症例集
【審美症例3】80代女性
80代女性・横浜市在住。上前歯4本の対し7本のジルコニアブリッジ(7本症例)による審美治療。
Before

After

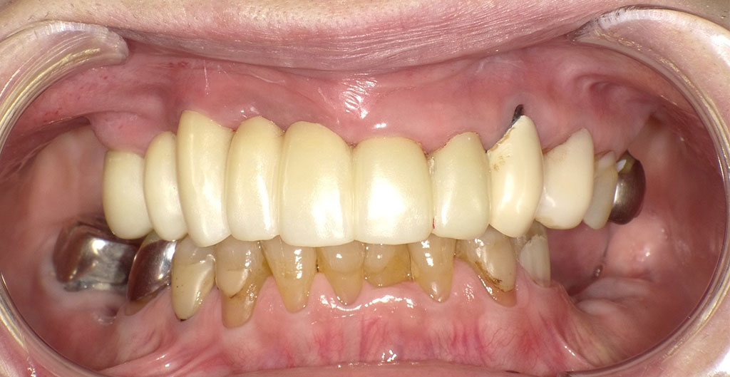
セットしたジルコニアブリッジ(表側)

セットしたジルコニアブリッジ(裏側)

治療名称
上前歯7本のジルコニアブリッジによる審美治療
患者の症状
80代女性。上1,2番の歯が欠けとぐらつき、他の前歯も着色や銀歯があり審美的に問題を抱えていたため、ご来院されました。
治療内容
上顎1,2番の歯を抜歯し、2ヶ月後にジルコニアブリッジを装着するために上顎の形成を行いました。その後、仮歯をつけ、普段の生活を行なっていただき、噛み合わせや色調を患者さんにヒアリングを行い、調整を行なった上で、光学印象(プライムスキャンによる)型取りを行いました。光学印象のデータを元に当院の院内技工室にてデジタル加工を行い、ジルコニア人工歯を作成し、セットを行いました。
治療期間・回数
約2ヶ月間、4回
費用
※自由診療となります
総額:770,000円(税込)
ジルコニアブリッジ(7本症例)
リスク・副作用
補綴物の脱落・欠落、咬合違和感、色調補正
医療法人社団横浜歯友会
戸塚駅前内藤歯科
tel. 045-443-6014
休診日・矯正の日はお電話での対応をしておりません。
〒244-0003
神奈川県横浜市戸塚区戸塚町13 ラピス戸塚3 7F
JR戸塚駅 徒歩1分
横浜市営地下鉄ブルーライン 戸塚駅 徒歩1分
JR横浜駅から約12分
| 診療時間 | 月 | 火 | 水 | 木 | 金 | 土 | 日 | 祝 |
|---|---|---|---|---|---|---|---|---|
| 9:00~13:00 | / | 休 | ||||||
| 14:30~19:00 | / | 休 |
■=不定期診療、午後は14:00-17:00
※=矯正は月1回、午後は14:00-17:00
休診日:木曜(不定期)・日曜・祝日
最終受付は診療終了時刻の45分前まで