症例集
【審美症例5】40代男性
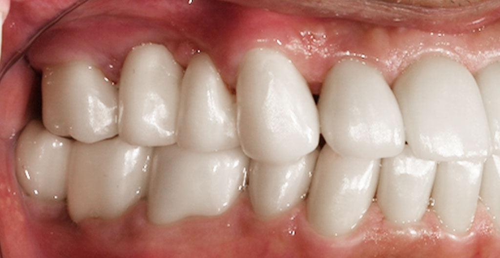
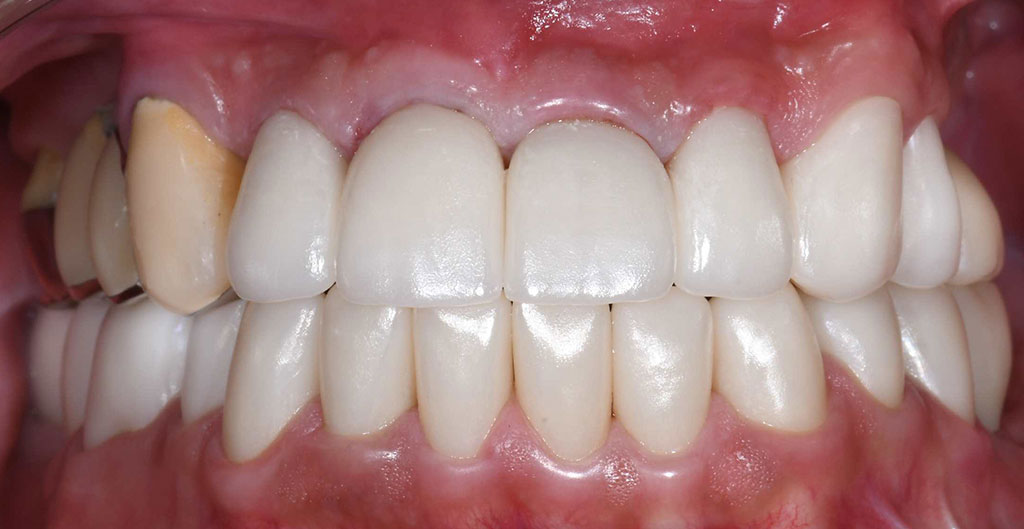
40代男性。横浜市在住。右上3456の銀歯のブリッジを白くしたい。4本のジルコニアクラウン(4本症例)による審美治療。
Before1

After1

Before2

After2

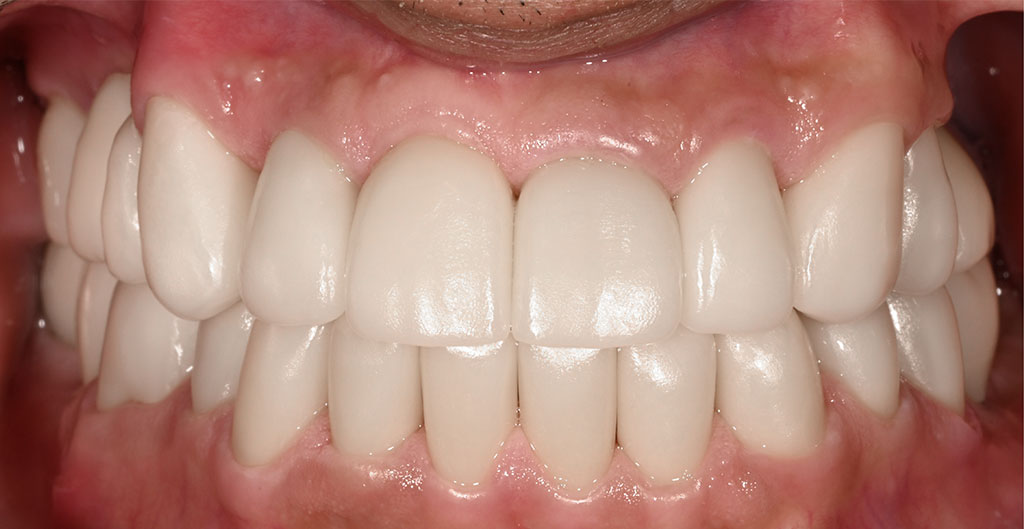
セットしたジルコニアクラウン

治療名称
右上3456番4本のジルコニアクラウンによる審美治療
患者の症状
40代男性。横浜市在住。右上3456の銀歯のブリッジがあり審美的に問題を抱えていたため、ご来院されました。
治療内容
ジルコニアクラウンを装着するために銀歯のブリッジを外し、歯の形成を行い光学印象(プライムスキャンによる)型取りを行いました。光学印象のデータを元に当院の院内技工室にてデジタル加工を行い、ジルコニアクラウンを作成し、セットを行いました。
治療期間・回数
約1ヶ月間、2回
費用
※自由診療となります
総額:440,000円(税込)
◼️内訳
ジルコニアクラウン:110,000円(税込)/1本×4本
光学印象(プライムスキャン)
リスク・副作用
補綴物の脱落・欠落、咬合違和感、色調補正
医療法人社団横浜歯友会
戸塚駅前内藤歯科
tel. 045-443-6014
休診日・矯正の日はお電話での対応をしておりません。
〒244-0003
神奈川県横浜市戸塚区戸塚町13 ラピス戸塚3 7F
JR戸塚駅 徒歩1分
横浜市営地下鉄ブルーライン 戸塚駅 徒歩1分
JR横浜駅から約12分
| 診療時間 | 月 | 火 | 水 | 木 | 金 | 土 | 日 | 祝 |
|---|---|---|---|---|---|---|---|---|
| 9:00~13:00 | / | 休 | ||||||
| 14:30~19:00 | / | 休 |
■=不定期診療、午後は14:00-17:00
※=矯正は月1回、午後は14:00-17:00
休診日:木曜(不定期)・日曜・祝日
最終受付は診療終了時刻の45分前まで