歯周病治療
歯周病治療
歯周病は、早めにプラークや歯石を取ることにより治せる病気です。 当院では3000倍の顕微鏡でプラークをチェックし、必要な場合はPCR検査をします。歯が弱い方への重点的な予防、定期検診をおすすめしております。当院では丁寧なプラーク除去や歯ブラシ指導に情熱をかけております。
以下の症状にあてはまる方は、歯周病の可能性があります。 お早めにご相談ください。

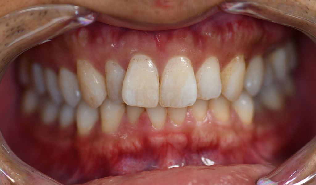
歯と歯ぐきの間には、プラークと呼ばれる歯垢が溜まりやすく、きちんと除去しないと歯ぐきに炎症を引き起こし、歯ぐきが腫れたり出血をしたりします。 歯周病とは、歯の周りの組織に炎症が起こっている状態です。 炎症が歯肉だけに留まっている状態を「歯肉炎」と言い、炎症が歯槽骨や歯根膜にまで広がっている状態を「歯周炎(歯槽膿漏)」と言います。 歯周病の特徴は、痛みがなく静かに進行していくことです。 歯ぐきに炎症が起き、歯との間「歯周ポケット」が深くなっていくと、腫れたり、グラグラしたり、ものが噛めなくなり、最後には歯が抜け落ちてしまいます。
近年、歯周病は大切な歯を奪ってしまうだけでなく、全身疾患とも深い関わりがあることがわかってきました。 歯周病菌が肺や血液を通じて全身を巡り、糖尿病や生活習慣病など様々なトラブルを引き起こすことがあります。 このように、歯周病は口だけでなく、全身の健康の面からも、早期発見や予防が大切とされています。
歯周病の直接の原因はプラークです。 プラークは多くの種類の細菌が増殖して塊となったもので、ブラッシングが充分でなかったり、砂糖を過剰に摂取したりすると、細菌がネバネバした物質を作り出し、歯の表面に付着します。 プラークは粘着性が強くうがいをした程度では落ちません。 また、歯垢は取り除かなければ硬くなり、歯石と言われる物質に変化し歯の表面に強固に付着します。これはブラッシングだけでは取り除くことができません。 歯周病細菌は酸素の少ない場所を好むため、主に歯周ポケットの中に存在します。 そして、毒素や酸素を放出して歯周組織を破壊していき歯周病が進行していきます。
歯周病の直接の原因はプラークですが、「口腔内の環境」や「生活習慣」の中には間接的に歯周病を悪化させるリスクファクターと呼ばれる危険因子が潜んでいます。 歯周病が生活習慣病の一つと言われるのはそのためです。
このような方は歯周病になりやすかったり、進行が速い傾向にあったりします。 歯周病予防には、適切な歯みがきでプラークを取り除くことが基本ですが、歯周病のリスクファクターを少なくすることも大切です。

<健康な歯周組織>
<歯肉炎>
歯周病の症状の1つで歯肉の炎症のみを指す用語です。 歯周病は、この先進行が進むと、骨や靱帯を溶かしていきます。
歯肉炎+骨、靭帯の融解=歯周病
ということになります。
歯肉溝から始まる歯周病は、まず歯肉溝周囲の歯肉を腫らす歯肉炎という症状から始まります。 「最近、歯ブラシをすると血が出る」といった症状ぐらいしか歯肉炎の兆候を感じることはできません。

<歯周病(軽度)>
プラークは、細菌の塊ですから、正に生きています。細菌たちは、子孫を増やすため、安全な環境を手に入れるために、より深いところに入り込んでいきます。上は歯石がガードしているため、天敵の歯ブラシは来ません。数年かけてゆっくりと進行していくのです。

<歯周病(中等度)>
歯周病(軽度)から数年後、細菌たちは、さらに奥に勢力を拡大しています。歯の周りの骨もだいぶ溶けてきました。 この時点でも、自覚症状は少なく、「たまに歯肉が腫れるけど、ほっとくと治るので・・・。」という感じです。 歯周ポケットが深くなり、歯はグラグラしはじめます。

<歯周病(重度)>
歯周病(中等度)から数年後、細菌たちは、さらに奥に勢力を拡大してしまいます。ここまで来るには、はじめの歯肉炎から20年近くの時間がかかります。歯の周りの骨もだいぶ溶けてきました。歯と繋がっている骨は、かなり少なくなってきたので、歯はぐらぐらしてきました。歯肉から膿も出ます。さすがに自覚症状はあり、ようやく歯科医院を訪れるようになります。 「最近歯がぐらぐらしてきて・・・。あんまり痛いことはないけど、痛くなる前に早めに来たよ。」 いや、実は・・・。早くないんです。 もう遅いんです! 顎の骨が半分以上溶けています。歯周ポケットがかなり深くなり、歯は更にグラグラの状態になります。 ここまでくると、最終的に歯は抜け落ちてしまいます。
まずは術前検査をしていきます。
ポケット検査から始めていきます。

ポケットプローブ左の器具は、ポケットプローブという器具です。歯周病かどうかの判断と進行具合は、この器具で判断していきます。この器具の先端には目盛が1mm単位でついています。

このポケットプローブで、歯肉溝の深さを測定し、mm単位で深さを記録していきます。歯1本につき6点の計測点の深さを計測していきます。

例えば、左上の6番という歯の6点の計測点は●で示した場所です。それぞれの計測点をポケットプローブで3mm、4mm、2mm、2mm、2mm、3mmという感じで測定していきます。

すると、こんな感じのポケット検査値がでます(6点のうちいちばん深い1点のみ記録していく場合や4点法という方法もあります)。
この調子で全ての歯のポケット検査値を測定するとこんな感じになります。
(1点法検査表)

ポケットの底までの深さは、骨の吸収具合によって異なるので、同じ歯の6点が同じ値を示すということにはなりません。つまり、ポケット検査とは、骨の吸収具合を調べる検査なのです。

この中に一か所でも4mm以上のポケット値があれば、歯周病という診断となります。 同じ歯周病でも、1か所だけ4mmの浅いポケットがある人も歯周病ですし、7mmとか9mmとか、とても深いポケットがほとんどの歯にある人も歯周病となります。同じ歯周病という診断でも、程度が人それぞれ、異なりますので治療法や治療期間も程度によって違ってきます。
当院での治療回数と期間です。あくまでも目安です。

1.掃除指導
現状のブラッシングでどこが磨けていないのかをよく理解した上で、正しいブラッシング方法を学んでいきます。

2.スケーリング(歯石除去)
歯石は歯面に付着したプラークに唾液中のリン、カルシウムが混じって石灰化したものです。歯に付着しておりそれ自体の病原性はありませんが、表面がでこぼこしていて、歯垢が付きやすいため、一般的に超音波スケーラーやキュレットスケーラーを使用して取り除きます。

3.フラップオペレーション
歯槽骨の破壊が大きく、歯周ポケットが深い場合には、ポケットの外から器具で歯垢や歯石を取り除くことは不可能です。このような場合には、歯肉を開いて歯根を露出させ歯垢や歯石を取り除きます。
4.メンテナンス
治療が終わった後に継続して、良い状態を維持することを言います。そのためには、歯科医師のチェックと歯科衛生士による専門的なお口の清掃(クリーニング)を定期的に行います。 最低でも半年に1回は定期的にチェックを受けましょう。進行した歯周病の治療が終わった方は、1~3か月のサイクルで来院し安定した歯茎の状態を管理していくことが大切です。
歯周病予防の第一歩は、的確なセルフチェックからはじまります。 継続的にセルフチェックを行い、1つでも当てはまるものがある場合は、できるだけ早い時期の検診をおすすめしています。
◇セルフチェック◇
歯ぐきの腫れや出血は、歯に原因があるケースもあり断定はできませんが、歯周病の初期段階によく見られる症状です。 歯周病は、腫れや出血などの自覚症状が出る活動期と自覚症状が治る静止期があります。 一般的に体の抵抗力の強いときに静止期になり、抵抗力が弱った頃に活動を再開し、症状が現れてきます。 この活動期と静止期が繰り返されることで、口腔ケアや検診の機会を逸してしまいがちですが、症状は着実に進行してしまいます。 腫れの症状が小さいからといって決して油断はせずに定期検診をしましょう。
歯がグラグラする原因の多くは歯周病です。 指や舌で歯を押さえたときにグラグラと動く場合は、歯周病の可能性があります。 歯周病は進行すると顎の骨が溶け、歯が大きくグラつくようになります。 ここまで来てしまったら、固い食べものを噛むことが難しくなり、満足に食事ができなくなるため、早急な治療が必要です。 できるだけ早めに的確な治療を受けないと、歯を失うことになってしまいます。
歯みがきをしたからと言って、歯に歯垢(プラーク)が残ったままでは意味がありません。 そのため、歯周病予防には正しいブラッシングが大切です。 しっかりと歯垢(プラーク)を除去するには、正しいブラッシングを続けることが大事です。 歯と歯の間などブラッシングだけでは磨ききれない場所もあります。 当院では歯みがき指導も行っておりますので、正しいブラッシングを身につけることをおすすめしております。 デンタルフロスあるいは歯間ブラシなどの補助用具を使用するのも大切です。
感染します。 歯周病は、歯垢(プラーク)の中の歯周病菌による感染症です。 歯周病菌は、空気を嫌う嫌気性菌のため歯と歯ぐきの間で繁殖し、唾液の中にも含まれています。 そのため、親が子どもに口移しで食事を与えたり、箸やスプーンを共用したり、直接唾液に触れるキスをしたりすると感染する可能性があります。 一般的に子どもの口内は大人と比べて細菌が少ないため、歯周病菌の影響を受けやすく、感染する可能性が高いと言われています。 感染してもすぐに歯周病を発症するわけではありませんが、その人のもつ抵抗力や口腔ケアのレベルにもよるので、きちんとケアし発症リスクを抑えることが大切です。
歯周病は治らないというイメージをお持ちの方が多いのですが、理由は、歯がぐらついてきて歯医者に行ったら「歯周病ですね。歯を抜かなければいけませんね。」と言われて歯を抜いている方が多いからです。歯周病は、20年近くもかけて進行する病気ですが、自覚症状が出てくるのは、治らない重症度になってからです。逆にいえば中等度までは治せますので、それまでに来ていただきたいのです。自覚症状がないのではどうしようもないのじゃないか・・・という声が聞こえてきそうですが。ですから、定期的に歯の検診に来ていただきたいのです。 治療成功のために治そうと思う気持ち(モチベーション)が大切です。 歯周病は、自覚症状に乏しい病気です。歯科医院は治そうと頑張っても、患者様が治療途中で気持ちがなえてしまっては治るものも治りません。 最後まで一緒に頑張りましょう。