奥歯のインプラントの症例
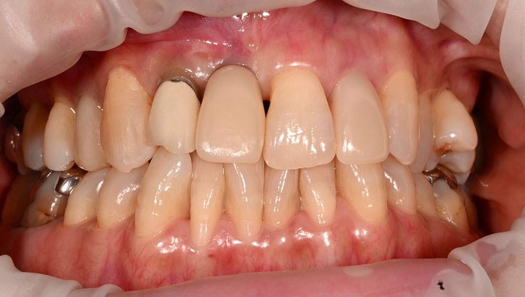
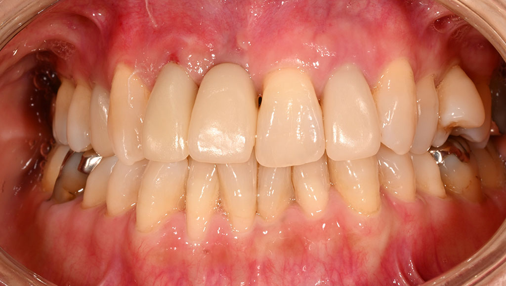
前歯(右2番)ジルコニアクラウンによる審美治療
Before1

After1

患者様の主訴
50代女性。横浜市在住。右上2番に対し審美的に問題を抱えていたため、ご来院。
診断結果
ジルコニアクラウンを装着するために元のクラウンを外し、歯の形成を行いジルコニアクラウンをセット
治療内容
ジルコニアクラウンを装着するために元のクラウンを外し、歯の形成を行い光学印象(プライムスキャンによる)型取りを行いました。光学印象のデータを元に当院の院内技工室にてデジタル加工を行い、ジルコニアクラウンを作成し、セットを行いました。
治療期間
2回
治療費用
総額110,000円(税込)
リスク・副作用
補綴物の脱落・欠落、咬合違和感、色調補正
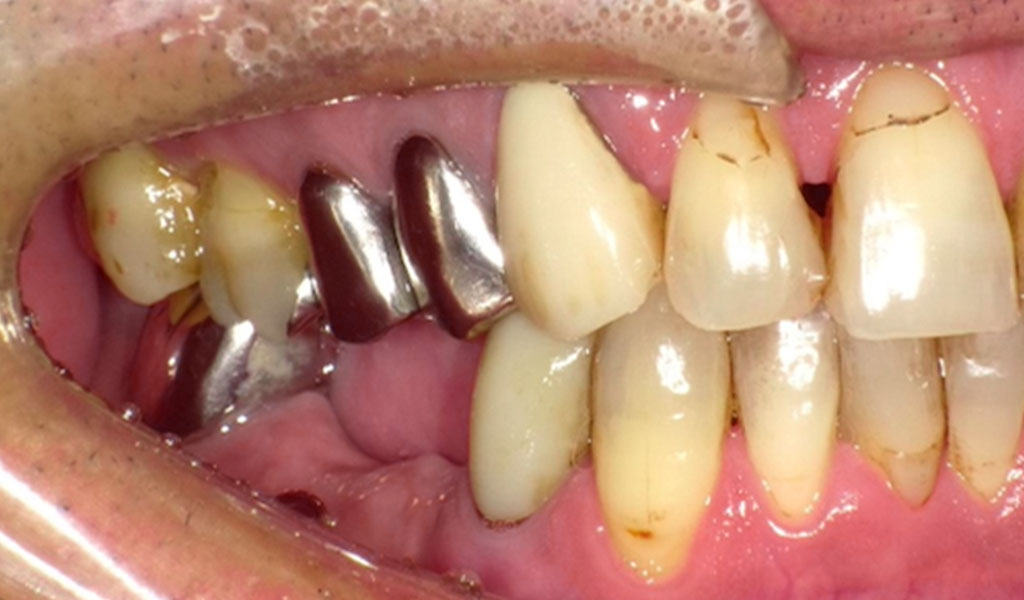
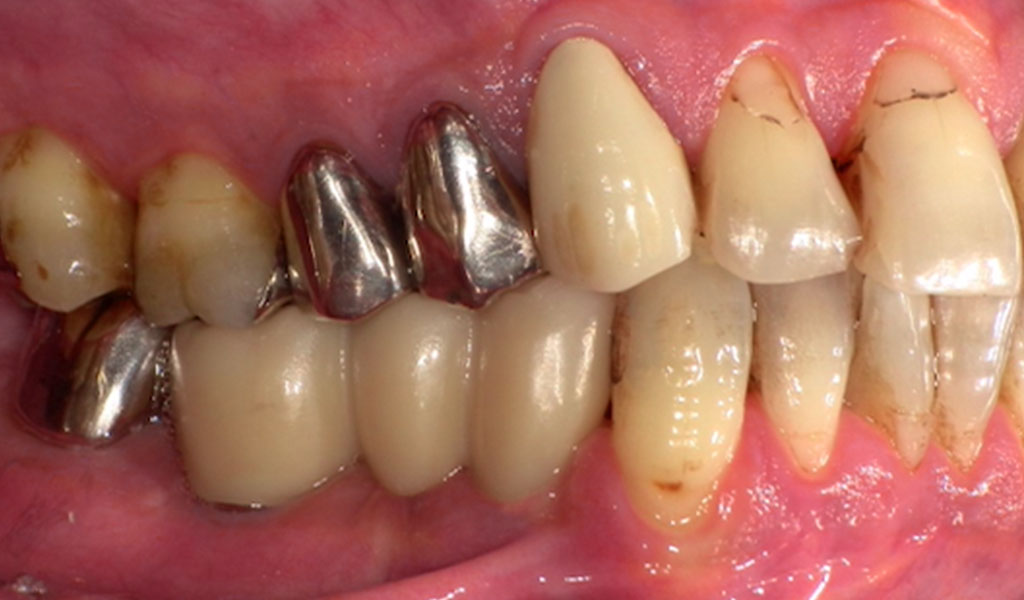
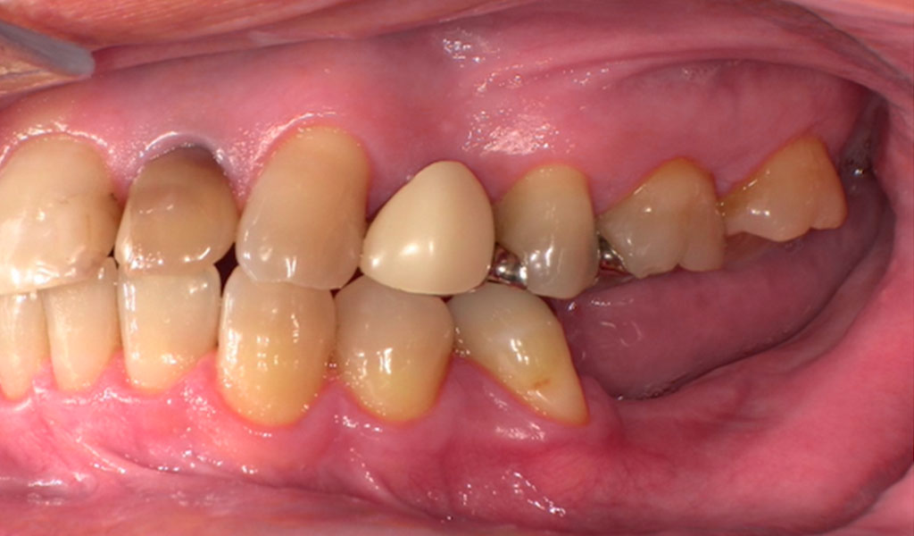
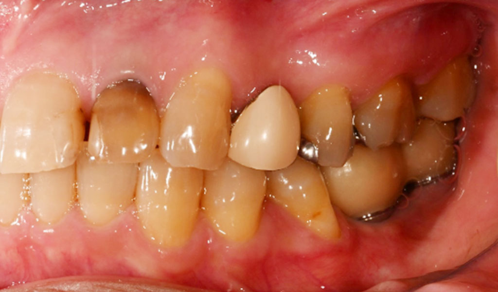
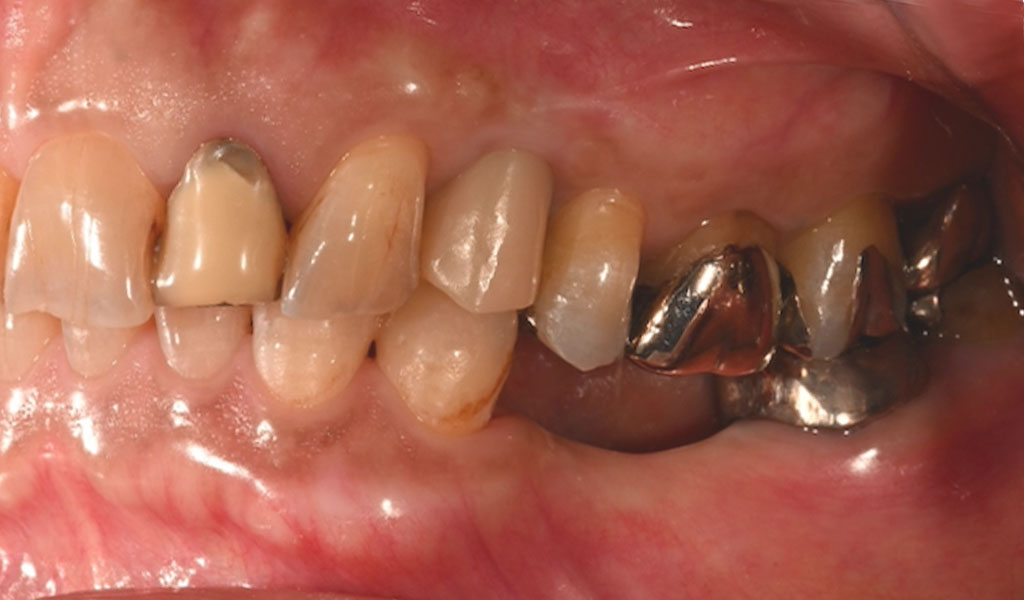
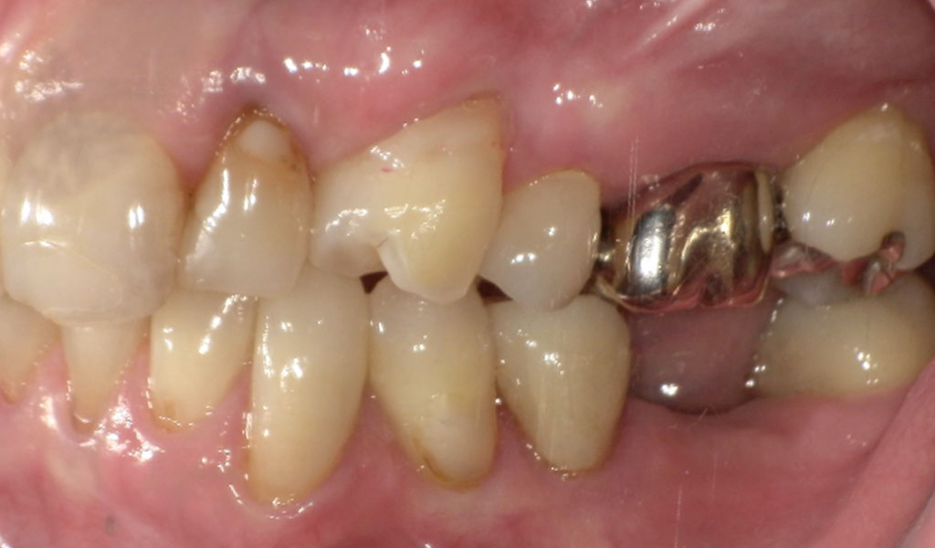
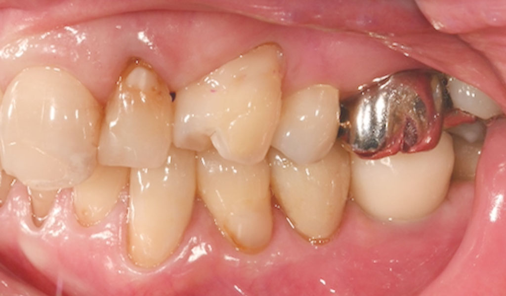
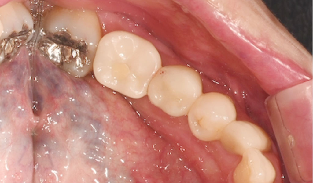
右下4,5,6番インプラント治療
Before1

After1

Before2

After2

患者様の主訴
50代男性・藤沢市在住。右下奥歯ブリッジ手前が割れて他院にて右下4番を抜いてブリッジを勧められているが、長持ちするインプラントにしたくて来院。
診断結果
右下4番抜歯および右下4,6にインプラント埋め込み後、ジルコニアブリッジ装着
治療内容
右下4番が歯根破折を起こしていたため、抜歯。抜歯後、骨の量が少ないため、半年待って、骨精査を行い、また術前検査(歯周病菌の検査(PCR検査)を行ったところ、Pg,Td,Tf菌の数値が高かったため、投薬及び塗り薬による歯周病内科治療を実施。
フラップレス手術にて、右下4,6番の骨にインプラントを埋め込みました。
インプラントと骨がしっかり結合するまで3ヶ月待ち、インプラントの上に人工の歯を被せる治療を行いました。
治療期間
約12ヶ月間、7回(待機期間含む)
治療費用
総額770,000円(検査・診断・手術関連処置費用等を含む)
◼️内訳
術前検査(PCR検査):16,500円
(右下4番)抜歯代:11,000円
(右下4番、6番)インプラント埋め込み・上部構造:275,000円/2本×2=550,000円
(右下4,5,6番)ジルコニアブリッジ(3本症例のうち、2本は上記インプラント代に含む):110,000円
歯周内科治療:66,000円
歯周内科治療後の検査(PCR検査):16,500円
リスク・副作用
出血、腫脹、疼痛、神経麻痺、補綴物の脱落、破折、インプラント体の破折、咬合違和感、インプラント周囲炎など
左下6,7番インプラント治療
Before1

After1

Before2

After2

患者様の主訴
50代男性・横浜市在住。左下奥歯に痛みを訴え来院。
診断結果
左下6,7番歯根破折
治療内容
左下奥歯6,7番が歯根破折を起こしていたため、抜歯。抜歯後、骨の量が少ないため、骨造成を実施。半年待って、骨精査を行い、また術前検査(歯周病菌の検査(PCR検査)を行ったところ、Td,Tf菌の数値が高かったため、投薬及び塗り薬による歯周病内科治療を実施。
通常手術にて、左下6,7番の骨にインプラントを埋め込みました。
インプラントと骨がしっかり結合するまで3ヶ月待ち、インプラントの上に人工の歯を被せる治療を行いました。
治療期間
約12ヶ月間、7回(待機期間含む)
治療費用
総額715,000円(検査・診断・手術関連処置費用等を含む)
◼️内訳
術前検査(PCR検査):16,500円
骨造成:66,000円
インプラント埋め込み・上部構造:275,000円/1本×2=550,000円
歯周内科治療:66,000円
歯周内科治療後の検査(PCR検査):16,500円
リスク・副作用
出血、腫脹、疼痛、神経麻痺、補綴物の脱落、破折、インプラント体の破折、咬合違和感、インプラント周囲炎など
左上4番インプラント治療
Before1

After1

Before2

After2

セットした上部構造

患者様の主訴
60代女性・鎌倉市在住。左上4番が縦に割れている状態で来院。
診断結果
歯根破折
治療内容
歯根破折を起こしていたため、抜歯。抜歯後、骨の量が少ないため、骨造成を実施。半年待って、骨精査を行い、また術前検査(歯周病菌の検査(PCR検査)を行ったところ、Pg菌の数値が高かったため、投薬及び塗り薬による歯周病内科治療を実施。
通常手術にて、右上4番の骨にインプラントを埋め込みました。
インプラントと骨がしっかり結合するまで3ヶ月待ち、インプラントの上に人工の歯を被せる治療を行いました。
治療期間
約12ヶ月間、7回(待機期間含む)
治療費用
総額440,000円(検査・診断・手術関連処置費用等を含む)
◼️内訳
術前検査(PCR検査):16,500円
骨造成:66,000円
インプラント埋め込み・上部構造:275,000円
歯周内科治療:66,000円
歯周内科治療後の検査(PCR検査):16,500円
リスク・副作用
出血、腫脹、疼痛、神経麻痺、補綴物の脱落、破折、インプラント体の破折、咬合違和感、インプラント周囲炎など
左下6番インプラント治療
Before1

After1

Before2

After2

患者様の主訴
40代女性・横浜市在住。左下6番に激しい痛みを訴え来院。
診断結果
歯根破折
治療内容
歯根破折を起こしていたため、抜歯。抜歯後、骨の量が少ないため、半年待って、骨精査を実施。半年後、術前検査(歯周病菌の検査(PCR検査)を行ったところ、数値的に問題なし。
フラップレス手術にて、左下6 番の骨にインプラントを埋め込みました。
インプラントと骨がしっかり結合するまで3ヶ月待ち、インプラントの上に人工の歯を被せる治療を行いました。
治療期間
約12ヶ月間、5回(待機期間含む)
治療費用
総額291,500円(検査・診断・手術関連処置費用等を含む)
◼️内訳
術前検査(PCR検査):16,500円
インプラント埋め込み・上部構造:275,000円
リスク・副作用
出血、腫脹、疼痛、神経麻痺、補綴物の脱落、破折、インプラント体の破折、咬合違和感、インプラント周囲炎など
医療法人社団横浜歯友会
戸塚駅前内藤歯科
tel. 045-443-6014
休診日・矯正の日はお電話での対応をしておりません。
〒244-0003
神奈川県横浜市戸塚区戸塚町13 ラピス戸塚3 7F
JR戸塚駅 徒歩1分
横浜市営地下鉄ブルーライン 戸塚駅 徒歩1分
JR横浜駅から約12分
| 診療時間 | 月 | 火 | 水 | 木 | 金 | 土 | 日 | 祝 |
|---|---|---|---|---|---|---|---|---|
| 9:00~13:00 | / | 休 | ||||||
| 14:30~19:00 | / | 休 |
■=不定期診療、午後は14:00-17:00
※=矯正は月1回、午後は14:00-17:00
休診日:木曜(不定期)・日曜・祝日
最終受付は診療終了時刻の45分前まで