症例集
【入れ歯(義歯)症例6】70代女性
70代女性・横浜市在住。上の入れ歯が臭うため上顎にクラスプの目立たない自費の入れ歯を作成。異物感が少ないことと、目立ちにくいことを両立させて欲しいという要望でした。
Before

After

Before

After

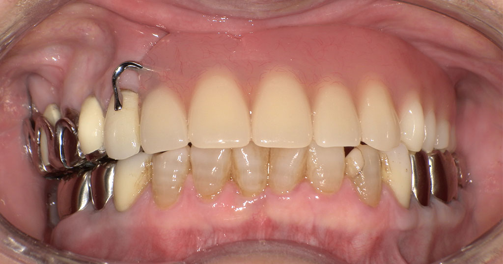
セットした自費の入れ歯1

セットした自費の入れ歯2

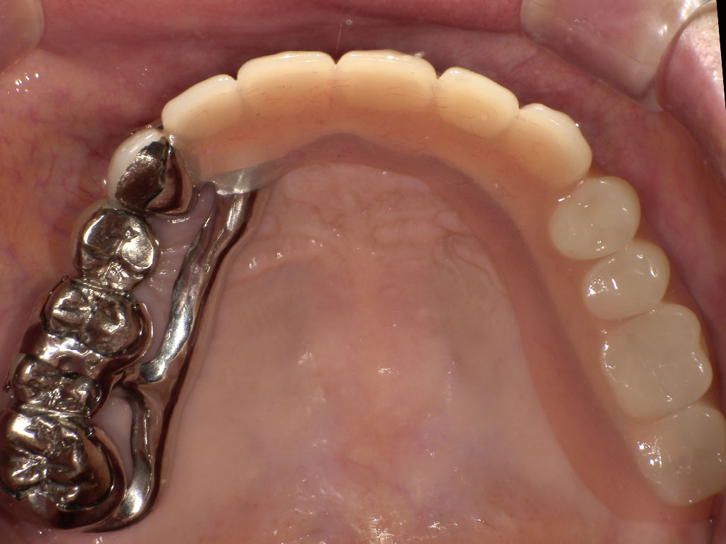
セットした自費の入れ歯3

治療名称
上顎左2番1番および右1234567番が欠損を補う自費の入れ歯
患者の症状
70代女性。横浜市在住。今まで下顎に保険の入れ歯を装着していたが、入れ歯の臭いが気になるということで来院。インプラント手術も怖いということで異物感が少ないことと、目立ちにくいことを両立させて欲しいという自費の入れ歯をご希望とのこと。
治療内容
金属部分が目立たない、フィット感がある、入れ歯を支える歯への負担を軽減させるため、上顎左2番1番および右1234567番が欠損を補う自費の入れ歯を作成。異物感をできるだけ少なくするために、オールプラスチックのスマイルデンチャーは選択せず、舌で触れる部分はメタルで薄く加工することにした。またクラスプも金属のため、緩くなったら締めなおせるというメリットもある。デジタルスキャナーで型取りをして、3Dプリンターで模型を作成し、その精密な顎模型を製作。そして当院専属の入れ歯技工士早澤が入れ歯を精魂込めて製作いたしました。
治療期間・回数
約3ヶ月間、5回
費用
※自由診療となります
総額495,000円 (型取り代含む)
リスク・副作用
自費治療のため高額。異物感を感じることがある。
医療法人社団横浜歯友会
戸塚駅前内藤歯科
tel. 045-443-6014
休診日・矯正の日はお電話での対応をしておりません。
〒244-0003
神奈川県横浜市戸塚区戸塚町13 ラピス戸塚3 7F
JR戸塚駅 徒歩1分
横浜市営地下鉄ブルーライン 戸塚駅 徒歩1分
JR横浜駅から約12分
| 診療時間 | 月 | 火 | 水 | 木 | 金 | 土 | 日 | 祝 |
|---|---|---|---|---|---|---|---|---|
| 9:00~13:00 | / | 休 | ||||||
| 14:30~19:00 | / | 休 |
■=不定期診療、午後は14:00-17:00
※=矯正は月1回、午後は14:00-17:00
休診日:木曜(不定期)・日曜・祝日
最終受付は診療終了時刻の45分前まで