症例集
【入れ歯(義歯)症例5】70代女性
70代女性・大和市在住。下顎の義歯を他院にて保険で作成したが合わないため、自費の入れ歯の作成を希望。
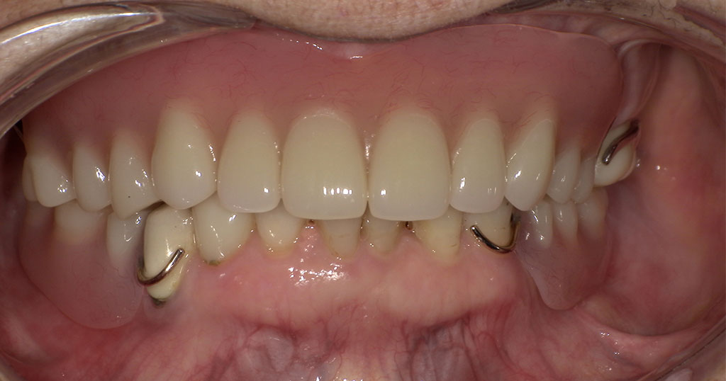
Before1

After1

Before2

After2

Before3

After3

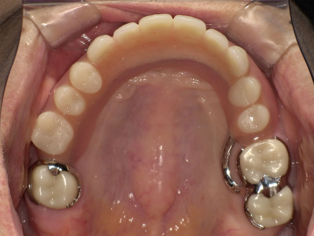
セットした自費の入れ歯(上顎)

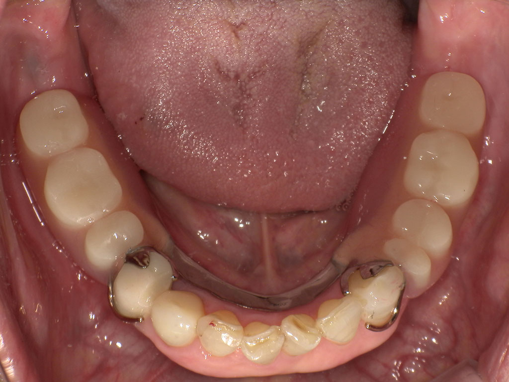
セットした自費の入れ歯(下顎)

治療名称
上顎右12345番および左123456番の欠損、下顎右567番および左567番を補う自費の入れ歯
患者の症状
70代女性・大和市在住。下顎の義歯を他院にて保険で作成したが合わないため、自費の入れ歯の作成を希望。また、下顎に合わせて上顎も義歯を作り直したいとのことで来院。
治療内容
他院にて作成した上顎の入れ歯が合わないため、当院で作成。上顎に合わせ、下顎の入れ歯も作成。インプラント手術が怖いということで自費の入れ歯をご希望とのこと。金属部分が目立たない、フィット感があるため、上顎右12345番および左123456番の欠損、下顎右567番および左567番を補う自費の入れ歯欠損を補う自費の入れ歯を作成。異物感をできるだけ少なくするために、オールプラスチックのスマイルデンチャーは選択せず、舌で触れる部分はメタルで薄く加工することにしました。またクラスプも金属のため、緩くなったら締めなおせるというメリットもあリます。デジタルスキャナーで型取りをして、3Dプリンターで模型を作成し、その精密な顎模型を製作。そして当院専属の入れ歯技工士早澤が入れ歯を精魂込めて製作いたしました。
治療期間・回数
約2ヶ月間、6回
費用
※自由診療となります
総額880,000円
◼️内訳
上顎:550,000円
下顎:330,000円
※症例により価格が異なります。
リスク・副作用
自費治療のため高額。異物感を感じることがある。
医療法人社団横浜歯友会
戸塚駅前内藤歯科
tel. 045-443-6014
休診日・矯正の日はお電話での対応をしておりません。
〒244-0003
神奈川県横浜市戸塚区戸塚町13 ラピス戸塚3 7F
JR戸塚駅 徒歩1分
横浜市営地下鉄ブルーライン 戸塚駅 徒歩1分
JR横浜駅から約12分
| 診療時間 | 月 | 火 | 水 | 木 | 金 | 土 | 日 | 祝 |
|---|---|---|---|---|---|---|---|---|
| 9:00~13:00 | / | 休 | ||||||
| 14:30~19:00 | / | 休 |
■=不定期診療、午後は14:00-17:00
※=矯正は月1回、午後は14:00-17:00
休診日:木曜(不定期)・日曜・祝日
最終受付は診療終了時刻の45分前まで