症例集
【入れ歯(義歯)症例4】60代女性
60代女性・横浜市在住。クラスプの金属が見えないタイプの入れ歯です。有名なスマイルデンチャー(三和デンタル社製)上顎がすっきりしているので異物感の少ない入れ歯です。
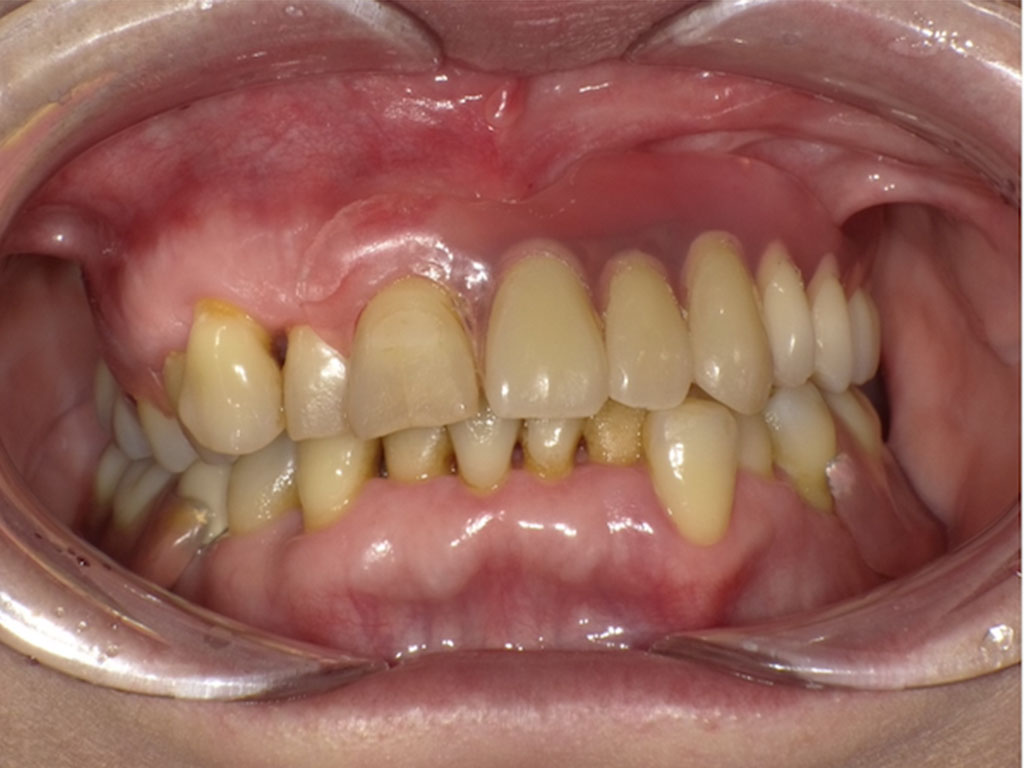
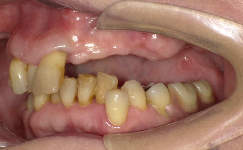
Before1

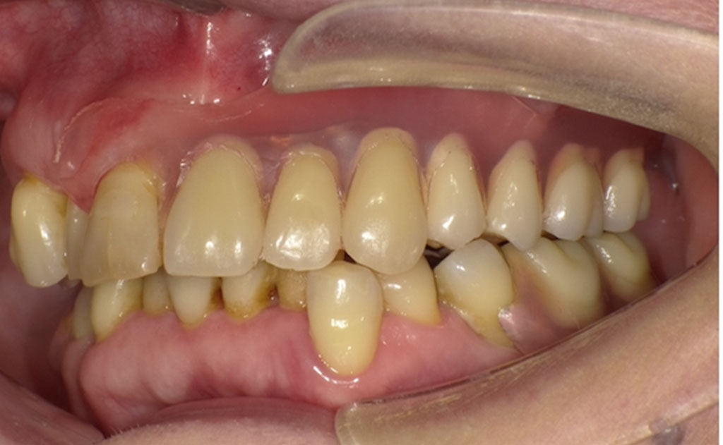
After1

Before2

After2

セットしたスマイルデンチャー1

セットしたスマイルデンチャー2

セットしたスマイルデンチャー3

セットしたスマイルデンチャー4

治療名称
上顎右1234567番および左67番の欠損を補うスマイルデンチャー
患者の症状
60代女性・横浜市在住。上顎右1234567番および左67番が欠損しており、他院にて作成したミラクルデンチャーを使用。転倒した際に上左側3本が斜めに破折。他院にて歯を治療し、ミラクルデンチャーも修理し使用していたが、支えていた歯が痛くデンチャーの着脱が困難な状態で来院。
治療内容
金属部分がない、フィット感がある、入れ歯を支える歯への負担を軽減させるため、右上1234567番および左上67番の欠損を補うスマイルデンチャーを作成
治療期間・回数
約1ヶ月間、2回
費用
※自由診療となります
総額385,000円
(型取り代含む)
※スマイルデンチャーは症例により価格が異なります。
リスク・副作用
自費治療のため高額。スマイルデンチャーはプラスチックなどの単純な素材ではなく、特別な材料から作られるため、壊れた時の修理が難しい
医療法人社団横浜歯友会
戸塚駅前内藤歯科
tel. 045-443-6014
休診日・矯正の日はお電話での対応をしておりません。
〒244-0003
神奈川県横浜市戸塚区戸塚町13 ラピス戸塚3 7F
JR戸塚駅 徒歩1分
横浜市営地下鉄ブルーライン 戸塚駅 徒歩1分
JR横浜駅から約12分
| 診療時間 | 月 | 火 | 水 | 木 | 金 | 土 | 日 | 祝 |
|---|---|---|---|---|---|---|---|---|
| 9:00~13:00 | / | 休 | ||||||
| 14:30~19:00 | / | 休 |
■=不定期診療、午後は14:00-17:00
※=矯正は月1回、午後は14:00-17:00
休診日:木曜(不定期)・日曜・祝日
最終受付は診療終了時刻の45分前まで