症例集
【入れ歯(義歯)症例3】80代男性
80代男性・横浜市在住。左上1番の歯茎に痛みがあり、右上1番の歯茎に水疱ができたため当院を受診。
Before

After

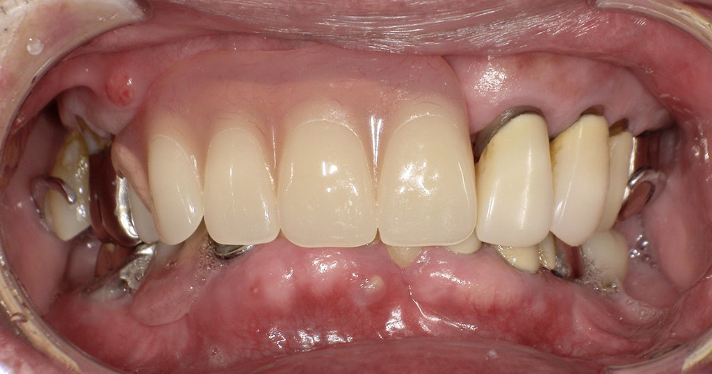
唇をかぶせた場合1

唇をかぶせた場合2

治療名称
左上1番、右上1,2,3番の欠損を補う自費の入れ歯
患者の症状
80代男性・横浜市在住。左上1番の歯茎に痛みがあり、右上1番の歯茎に水疱ができたため当院を受診。左上1番、右上1番には根尖性歯周炎がみられた。
治療内容
左上1番、右上1番が根尖性歯周炎のため、抜歯。インプラント手術が怖いということで自費の入れ歯をご希望とのこと。金属部分が目立たない、フィット感がある、入れ歯を支える歯への負担を軽減させるため、左上1番、右上1,2,3番の欠損を補う自費の入れ歯を作成。異物感をできるだけ少なくするために、オールプラスチックのスマイルデンチャーは選択せず、舌で触れる部分はメタルで薄く加工することにしました。またクラスプも金属のため、緩くなったら締めなおせるというメリットもあリます。デジタルスキャナーで型取りをして、3Dプリンターで模型を作成し、その精密な顎模型を製作。そして当院専属の入れ歯技工士早澤が入れ歯を精魂込めて製作いたしました。
治療期間・回数
約2ヶ月間、5回
費用
※自由診療となります
総額330,000円 (型取り代含む)
リスク・副作用
自費治療のため高額。異物感を感じることがある。
医療法人社団横浜歯友会
戸塚駅前内藤歯科
tel. 045-443-6014
休診日・矯正の日はお電話での対応をしておりません。
〒244-0003
神奈川県横浜市戸塚区戸塚町13 ラピス戸塚3 7F
JR戸塚駅 徒歩1分
横浜市営地下鉄ブルーライン 戸塚駅 徒歩1分
JR横浜駅から約12分
| 診療時間 | 月 | 火 | 水 | 木 | 金 | 土 | 日 | 祝 |
|---|---|---|---|---|---|---|---|---|
| 9:00~13:00 | / | 休 | ||||||
| 14:30~19:00 | / | 休 |
■=不定期診療、午後は14:00-17:00
※=矯正は月1回、午後は14:00-17:00
休診日:木曜(不定期)・日曜・祝日
最終受付は診療終了時刻の45分前まで