症例集
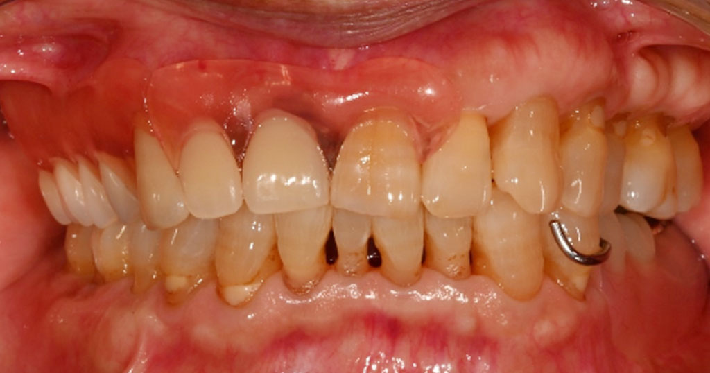
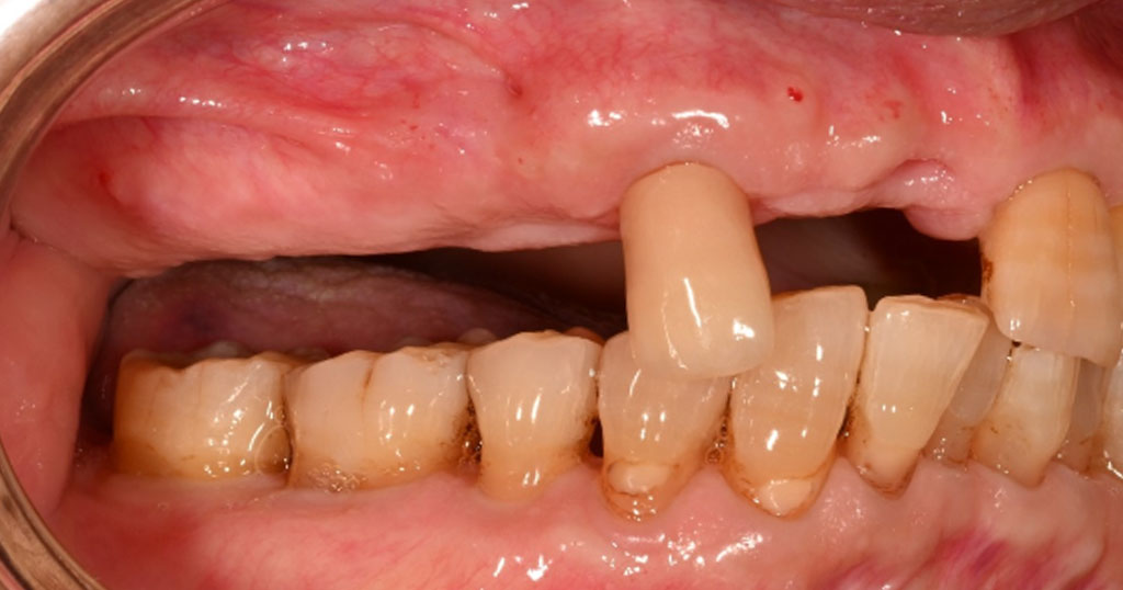
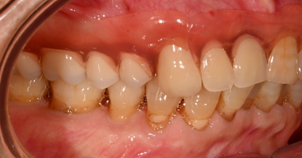
【入れ歯(義歯)症例8】80代男性
80代男性。クラスプの金属が見えないタイプの入れ歯です。コンティース(三和デンタル社製)異物感の少ない、コンタクトレンズのように気軽に取り外せる部分入れ歯です。
Before1

After1

Before2

After2

セットしたコンティース

セットしたコンティース

治療名称
上顎右124567番の欠損を補うコンティース(部分入れ歯)
患者の症状
80代男性。上顎右124567番が欠損した状態で来院。今まで使用していた保険の入れ歯を使用しているが不満で、インプラント手術も怖いということで自費の入れ歯をご希望とのこと。
治療内容
金属部分がない、フィット感がある、入れ歯を支える歯への負担を軽減させるため、上顎右124567番の欠損を補う着脱が簡単なコンティースを作成
治療期間・回数
約1ヶ月間、2回
費用
※自由診療となります
総額385,000円 (型取り代含む)
リスク・副作用
自費治療のため高額。コンティースは特別な材料から作られるため、壊れた時の修理が難しい
医療法人社団横浜歯友会
戸塚駅前内藤歯科
tel. 045-443-6014
休診日・矯正の日はお電話での対応をしておりません。
〒244-0003
神奈川県横浜市戸塚区戸塚町13 ラピス戸塚3 7F
JR戸塚駅 徒歩1分
横浜市営地下鉄ブルーライン 戸塚駅 徒歩1分
JR横浜駅から約12分
| 診療時間 | 月 | 火 | 水 | 木 | 金 | 土 | 日 | 祝 |
|---|---|---|---|---|---|---|---|---|
| 9:00~13:00 | / | 休 | ||||||
| 14:30~19:00 | / | 休 |
■=不定期診療、午後は14:00-17:00
※=矯正は月1回、午後は14:00-17:00
休診日:木曜(不定期)・日曜・祝日
最終受付は診療終了時刻の45分前まで