症例集
【インプラント症例30】60代女性
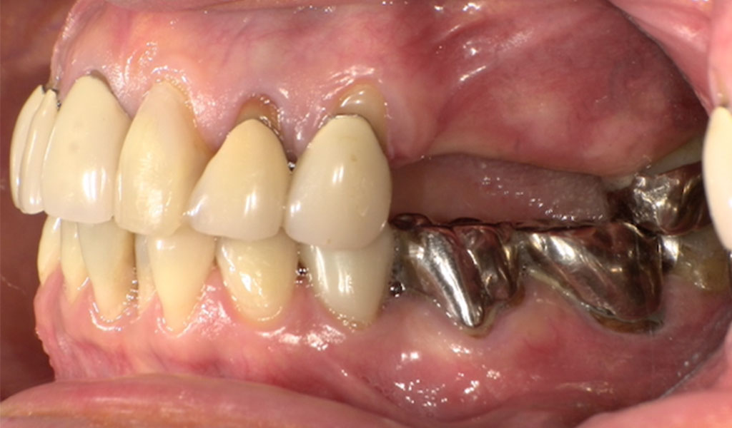
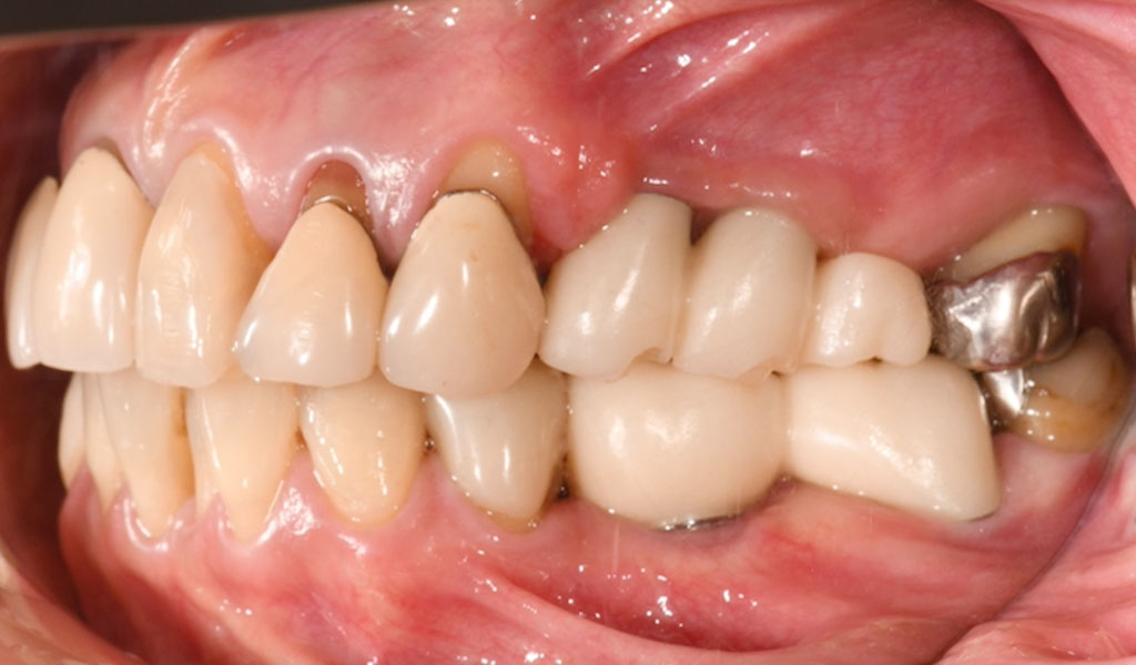
60代女性・横浜市在住。左上4,5,6番は欠損放置、左下は歯ぐきの腫れで痛みあり。当院にて左下6,7番を抜歯後、インプラント治療。人工歯はジルコニア人工歯。インプラントはスクリューリテインにて固定しました。
Before(左上4,5,6番)

After(左上4,5,6番)

Before(左下6,7番)

After(左下6,7番)

Before(左横)

After(左横)

治療名称
左上4,5,6番、左下5,6番インプラント治療
患者の症状
60代女性・横浜市在住。左上4,5,6番は欠損放置、左下6,7番は歯ぐきの腫れで痛みあり。当院にてインプラント治療を希望されてご来院されました。
治療内容
術前検査(歯周病菌の検査(PCR検査)を行ったところ、Pg菌、Td菌、Tf菌の数値は問題なし。
左下6,7番の腫れ痛みがあった部分は歯根破折のため、抜歯。
通常手術にて、左上4,5番、左下6,7番の骨にインプラントを埋め込みました。
インプラントと骨がしっかり結合するまで3ヶ月待ち、インプラントの上に人工の歯を被せる治療を行いました。
治療期間・回数
約4ヶ月間、7回
費用
※自由診療となります
総額1,248,500円(検査・診断・手術関連処置費用等を含む)
インプラントのみ:275,000円/1本×4=1,100,000円
◼️内訳
術前検査(PCR検査):16,500円
(左下4,5番)抜歯代:22,000円
(左上4,5番、左下6,7番)インプラント埋め込み・上部構造:275,000円/1本×4=1,100,000円
(左上4,5,6番)ジルコニアクラウン:110,000円(3本症例のうち、2本は上記インプラント代に含む)
リスク・副作用
出血、腫脹、疼痛、神経麻痺、補綴物の脱落、破折、インプラント体の破折、咬合違和感、インプラント周囲炎など
医療法人社団横浜歯友会
戸塚駅前内藤歯科
tel. 045-443-6014
休診日・矯正の日はお電話での対応をしておりません。
〒244-0003
神奈川県横浜市戸塚区戸塚町13 ラピス戸塚3 7F
JR戸塚駅 徒歩1分
横浜市営地下鉄ブルーライン 戸塚駅 徒歩1分
JR横浜駅から約12分
| 診療時間 | 月 | 火 | 水 | 木 | 金 | 土 | 日 | 祝 |
|---|---|---|---|---|---|---|---|---|
| 9:00~13:00 | / | 休 | ||||||
| 14:30~19:00 | / | 休 |
■=不定期診療、午後は14:00-17:00
※=矯正は月1回、午後は14:00-17:00
休診日:木曜(不定期)・日曜・祝日
最終受付は診療終了時刻の45分前まで