症例集
【インプラント症例28】50代女性
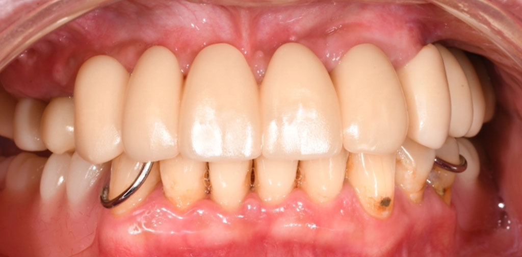
50代女性・横浜市在住。長らく前歯の入れ歯生活を強いられていたが、不便さを感じていた。奥歯のインプラントが快適だったため、インプラントを決意。当院にて抜歯およびインプラント治療。人工歯はジルコニア人工歯。スクリューリテインにて固定しました。
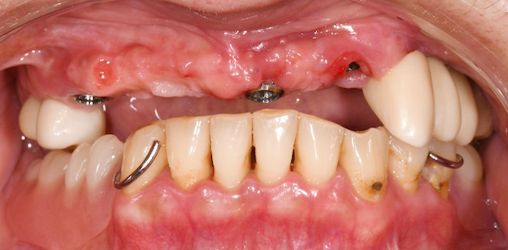
Before1

After1

セットした上部構造

セットした上部構造

治療名称
左上1,2番、右上4番インプラント治療
患者の症状
50代女性・横浜市在住。長らく入れ歯生活を強いられていたが、不便さを感じ、インプラント治療を希望されてご来院されました。
治療内容
術前検査(歯周病菌の検査(PCR検査)を行ったところ、Pg菌、Td菌、Tf菌の数値は問題なし。
左上1,2番、右上4番はぐらつきがあるため、抜歯。通常手術にて、左上1,2番、右上4番の骨にインプラントを埋め込みました。
インプラントと骨がしっかり結合するまで3ヶ月待ち、インプラントの上に人工の歯を被せる治療を行いました。
治療期間・回数
約4ヶ月間、6回
費用
※自由診療となります
総額1,204,500円(検査・診断・手術関連処置費用等を含む)
◼️内訳
術前検査(PCR検査):16,500円
(右上4番、左上1,2番)抜歯代:33,000円
(右上4番、左上1,2番)インプラント埋め込み・上部構造:275,000円/1本×3=825,000円
(右上1,2,3,4番、左上1,2番)インプラントブリッジ:110,000円/1本×3=330,000円(6本症例のうち、3本上記インプラント代に含む)
リスク・副作用
出血、腫脹、疼痛、神経麻痺、補綴物の脱落、破折、インプラント体の破折、咬合違和感、インプラント周囲炎など
医療法人社団横浜歯友会
戸塚駅前内藤歯科
tel. 045-443-6014
休診日・矯正の日はお電話での対応をしておりません。
〒244-0003
神奈川県横浜市戸塚区戸塚町13 ラピス戸塚3 7F
JR戸塚駅 徒歩1分
横浜市営地下鉄ブルーライン 戸塚駅 徒歩1分
JR横浜駅から約12分
| 診療時間 | 月 | 火 | 水 | 木 | 金 | 土 | 日 | 祝 |
|---|---|---|---|---|---|---|---|---|
| 9:00~13:00 | / | 休 | ||||||
| 14:30~19:00 | / | 休 |
■=不定期診療、午後は14:00-17:00
※=矯正は月1回、午後は14:00-17:00
休診日:木曜(不定期)・日曜・祝日
最終受付は診療終了時刻の45分前まで