症例集
【インプラント症例27】60代女性
60代女性・横浜市在住。前歯に排膿があり、出血、ぐらつきも見られたため、当院にて左上2番、右上2番を抜歯後、インプラント治療。天然歯は治療後、ジルコニア人工歯。インプラントはスクリューリテインにて固定しました。歯周病菌の数が多いため、歯周内科治療も実施しました。
Before1

After1

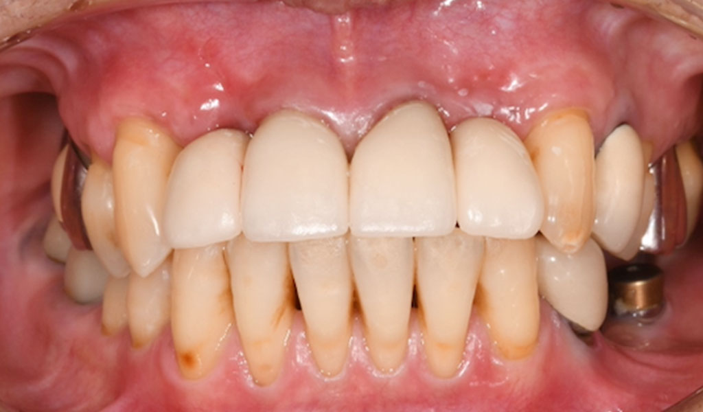
セットした上部構造

セットした上部構造

治療名称
右上2番、左上2番インプラント治療。右上1番、左上1番天然歯治療。
患者の症状
60代女性・横浜市在住。前歯の臭いが気になり、出血、ぐらつきも見られたため、当院にてインプラント治療を希望されてご来院されました。
治療内容
術前検査(歯周病菌の検査(PCR検査)を行ったところ、Tf菌の数値が高かったため、投薬及びクリーニングによる歯周病内科治療を実施。
前歯に排膿があり、出血、ぐらつきも見られたため、当院にて左上2番、右上2番を抜歯。
通常手術にて、左上2番、右上2番をの骨にインプラントを埋め込みました。
インプラントと骨がしっかり結合するまで3ヶ月待ち、また、歯周内科による治療が終わった上で、インプラントの上に人工の歯を被せる治療を行いました。右上1番、左上1番天然歯治療。歯周内科治療終了後、再PCR検査によりPg菌、Td菌、Tf菌の数値が問題ないレベルまで下がったことを確認。
治療期間・回数
約4ヶ月間、6回
費用
※自由診療となります
総額891,000円(検査・診断・手術関連処置費用等を含む)
インプラントのみ:275,000円/1本×2=550,000円
◼️内訳
術前検査(PCR検査):16,500円
(左上2番、右上2番)抜歯代:22,000円
(左上2番、右上2番)インプラント埋め込み・上部構造:275,000円/1本×2=550,000円(税込)
(左上1番、右上1番)ジルコニアクラウン:110,000円×2=220,000円
歯周内科治療:66,000円
歯周内科治療後の検査(PCR検査):16,500円
リスク・副作用
出血、腫脹、疼痛、神経麻痺、補綴物の脱落、破折、インプラント体の破折、咬合違和感、インプラント周囲炎など
医療法人社団横浜歯友会
戸塚駅前内藤歯科
tel. 045-443-6014
休診日・矯正の日はお電話での対応をしておりません。
〒244-0003
神奈川県横浜市戸塚区戸塚町13 ラピス戸塚3 7F
JR戸塚駅 徒歩1分
横浜市営地下鉄ブルーライン 戸塚駅 徒歩1分
JR横浜駅から約12分
| 診療時間 | 月 | 火 | 水 | 木 | 金 | 土 | 日 | 祝 |
|---|---|---|---|---|---|---|---|---|
| 9:00~13:00 | / | 休 | ||||||
| 14:30~19:00 | / | 休 |
■=不定期診療、午後は14:00-17:00
※=矯正は月1回、午後は14:00-17:00
休診日:木曜(不定期)・日曜・祝日
最終受付は診療終了時刻の45分前まで