症例集
【インプラント症例22】40代男性
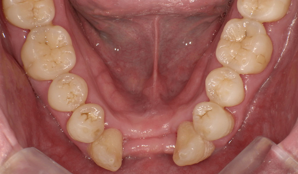
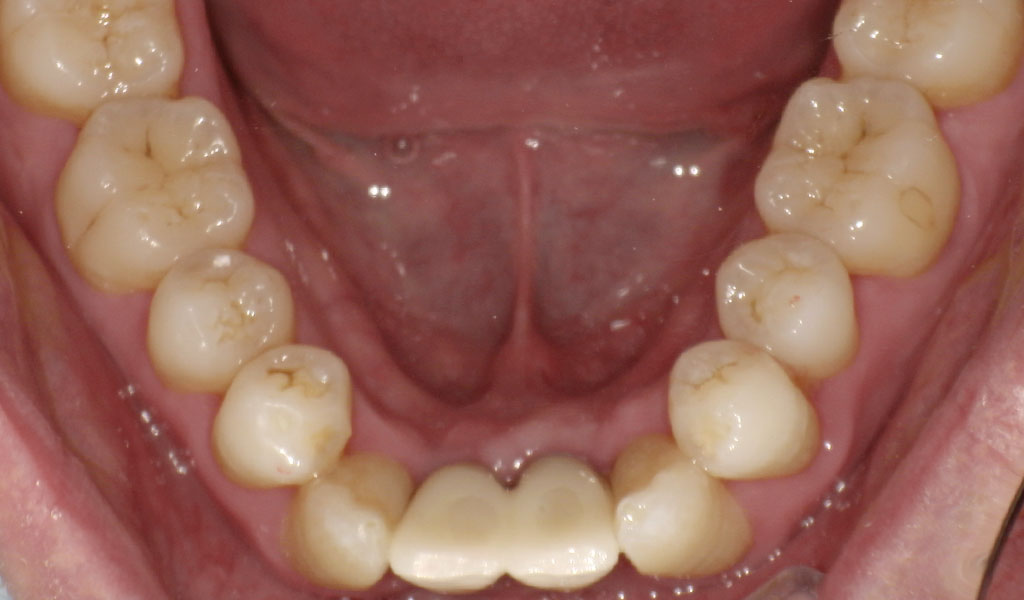
40代男性・横浜市在住。前歯下右1番欠損、 右2番、左1,2番がぐらぐらしているため、当院にて抜歯およびインプラント治療。人工歯はジルコニア人工歯。スクリューリテインにて固定しました。歯周病菌の数が多いため、歯周内科治療も実施しました。
Before1

After1

Before2(抜歯後)

After2

治療名称
前歯下左右1番インプラント治療
患者の症状
40代男性・横浜市在住。前歯下右1番欠損、 右2番、左1,2番がぐらぐらしているため、当院にて抜歯およびインプラント治療を希望されてご来院されました。
治療内容
術前検査(歯周病菌の検査(PCR検査)を行ったところ、Pg菌、Td菌、Tf菌の数値が高かったため、投薬及びクリーニングによる歯周病内科治療を実施。
ぐらつきの多い前歯下右2番、左1,2番を抜歯。
インプラントを入れるスペースが2本分しかないため、
通常手術にて、前歯下左右1番の骨にインプラントを埋め込みました。
インプラントと骨がしっかり結合するまで3ヶ月待ち、また、歯周内科による治療が終わった上で、インプラントの上に人工の歯を被せる治療を行いました。
治療期間・回数
約12ヶ月間、7回(待機期間含む)
費用
※自由診療となります
総額649,000円(検査・診断・手術関連処置費用等を含む)
◼️内訳
術前検査(PCR検査):16,500円
インプラント埋め込み・上部構造:275,000円/1本×2=550,000円
歯周内科治療:66,000円
歯周内科治療後の検査(PCR検査):16,500円
リスク・副作用
出血、腫脹、疼痛、神経麻痺、補綴物の脱落、破折、インプラント体の破折、咬合違和感、インプラント周囲炎など
医療法人社団横浜歯友会
戸塚駅前内藤歯科
tel. 045-443-6014
休診日・矯正の日はお電話での対応をしておりません。
〒244-0003
神奈川県横浜市戸塚区戸塚町13 ラピス戸塚3 7F
JR戸塚駅 徒歩1分
横浜市営地下鉄ブルーライン 戸塚駅 徒歩1分
JR横浜駅から約12分
| 診療時間 | 月 | 火 | 水 | 木 | 金 | 土 | 日 | 祝 |
|---|---|---|---|---|---|---|---|---|
| 9:00~13:00 | / | 休 | ||||||
| 14:30~19:00 | / | 休 |
■=不定期診療、午後は14:00-17:00
※=矯正は月1回、午後は14:00-17:00
休診日:木曜(不定期)・日曜・祝日
最終受付は診療終了時刻の45分前まで