症例集
【インプラント症例19】50代男性
50代男性・横須賀市在住。左上2番の差し歯が取れ、歯根破折を起こしているため、当院にてインプラント治療。人工歯はジルコニア人工歯。スクリューリテインにて固定しました。歯周病菌の数が多いため、歯周内科治療も実施しました。
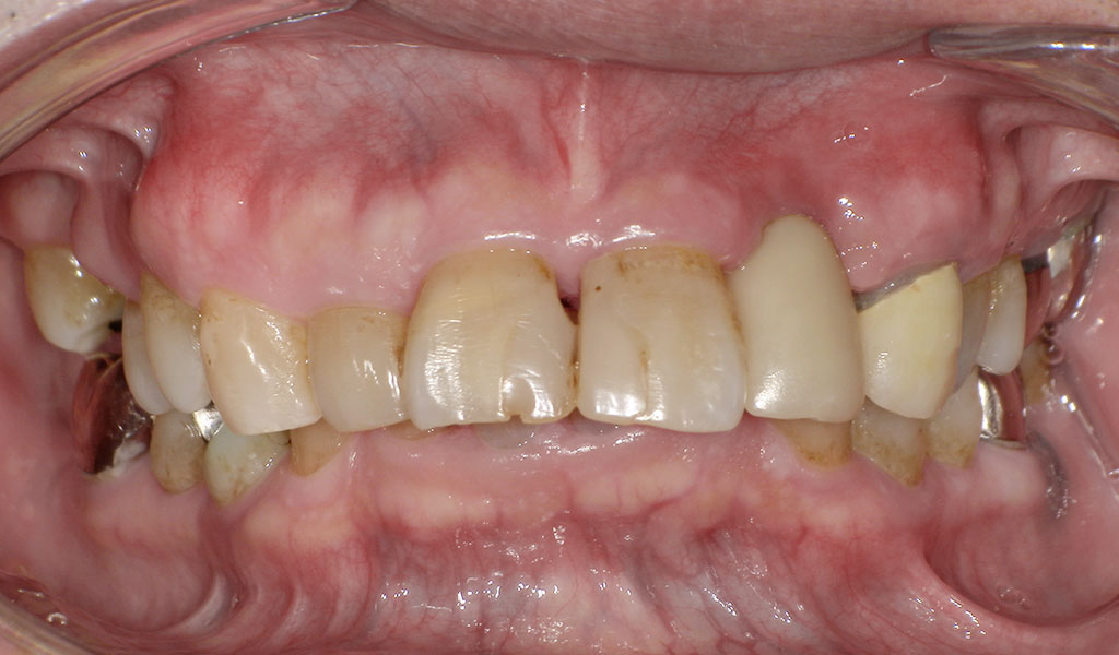
Before1

After1

治療名称
左上2番インプラント治療
患者の症状
50代男性・横須賀市在住。上前歯2番の差し歯が取れ、歯根破折を起こしているため、インプラント治療を希望されてご来院されました。
治療内容
術前検査(歯周病菌の検査(PCR検査)を行ったところ、Tf菌の数値が高かったため、投薬及びクリーニングによる歯周病内科治療を実施。
当院にて、さし歯が取れた部分が歯根破折を起こしていたため、左上2番を抜歯。通常手術にて、左上2番の骨にインプラントを埋め込みました。
インプラントと骨がしっかり結合するまで3ヶ月待ち、また、歯周内科による治療が終わった上で、インプラントの上に人工の歯を被せる治療を行いました。
治療期間・回数
約6ヶ月間、8回
費用
※自由診療となります
総額396,000円(検査・診断・手術関連処置費用等を含む)
◼️内訳
術前検査(PCR検査):16,500円
仮歯作成および装着料:11,000円(※ご希望の場合のみかかる費用です。また、本数および装着回数により価格が変動します。)
抜歯代:11,000円
インプラント埋め込み・上部構造:275,000円
歯周内科治療:66,000円
歯周内科治療後の検査(PCR検査):16,500円
リスク・副作用
出血、腫脹、疼痛、神経麻痺、補綴物の脱落、破折、インプラント体の破折、咬合違和感、インプラント周囲炎など
医療法人社団横浜歯友会
戸塚駅前内藤歯科
tel. 045-443-6014
休診日・矯正の日はお電話での対応をしておりません。
〒244-0003
神奈川県横浜市戸塚区戸塚町13 ラピス戸塚3 7F
JR戸塚駅 徒歩1分
横浜市営地下鉄ブルーライン 戸塚駅 徒歩1分
JR横浜駅から約12分
| 診療時間 | 月 | 火 | 水 | 木 | 金 | 土 | 日 | 祝 |
|---|---|---|---|---|---|---|---|---|
| 9:00~13:00 | / | 休 | ||||||
| 14:30~19:00 | / | 休 |
■=不定期診療、午後は14:00-17:00
※=矯正は月1回、午後は14:00-17:00
休診日:木曜(不定期)・日曜・祝日
最終受付は診療終了時刻の45分前まで