症例集
【インプラント症例14】70代女性
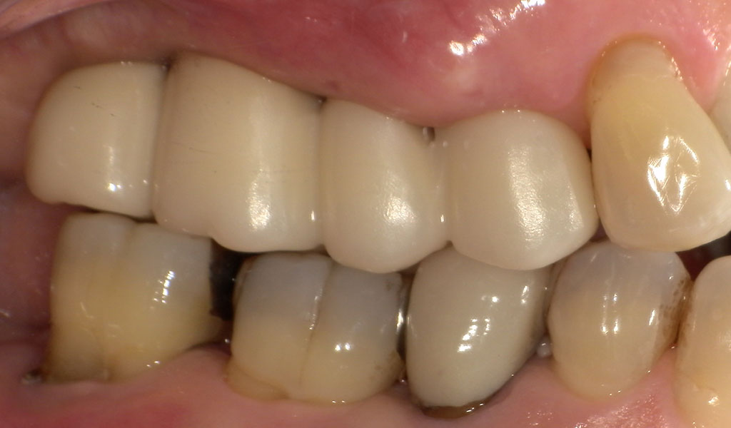
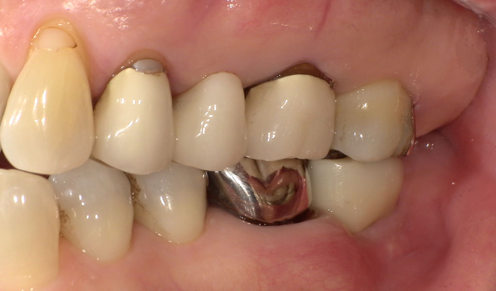
70代女性・横浜市在住。1年前に他院で右上6,7を抜歯したが、右上5番もぐらつき始めたため、インプラント希望で当院を受診。当院にてインプラント治療。人工歯はジルコニア人工歯。スクリューリテインにて固定しました。
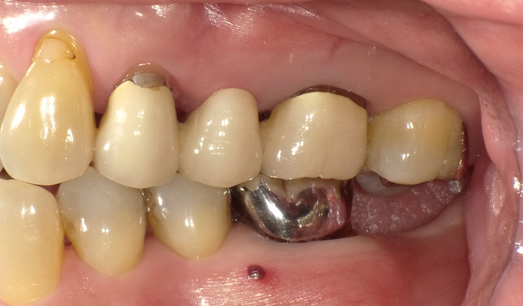
Before1

After1

Before2

After2

治療名称
右上4567番、左下7番インプラント治療
患者の症状
70代女性・横浜市在住。1年前に他院で右上6,7,左下7番を抜歯し放置していたが、右上5番もぐらつき始めたため、インプラントを入れるために当院を受診。
治療内容
術前検査(歯周病菌の検査(PCR検査))を行ったところ、Pg菌、Td菌、Tf菌の数値が高かったため、投薬及びクリーニングによる歯周病内科治療を実施。
当院にて、右上4,5番のぐらつきが見られたため抜歯。通常手術にて、右上4番6番7番、左下7番の骨にインプラントを埋め込みました。
歯周内科治療終了後、再PCR検査によりPg菌、Td菌、Tf菌の数値が問題ないレベルまで下がったことを確認。
インプラントと骨がしっかり結合するまで術後3ヶ月待ち、インプラントの上に人工の歯を被せる治療を行いました。
治療期間・回数
約5ヶ月間、6回
費用
※自由診療となります
総額1,331,000円(検査・診断・手術関連処置費用等を含む)
インプラントのみ:275,000円/1本×4=1,100,000円
◼️内訳
術前検査(PCR検査):16,500円
(右上4番,5番)抜歯代:11,000円/1本×2=22,000円
(右上4番,6番,7番,左下7番)インプラント埋め込み・上部構造:275,000円/1本×4=1,100,000円
(右上4,5,6,7番)ジルコニアブリッジ(4本症例のうち、3本は上記インプラント代に含む):110,000円
歯周内科治療:66,000円
歯周内科治療後の検査(PCR検査):16,500円
リスク・副作用
出血、腫脹、疼痛、神経麻痺、補綴物の脱落、破折、インプラント体の破折、咬合違和感、インプラント周囲炎など
医療法人社団横浜歯友会
戸塚駅前内藤歯科
tel. 045-443-6014
休診日・矯正の日はお電話での対応をしておりません。
〒244-0003
神奈川県横浜市戸塚区戸塚町13 ラピス戸塚3 7F
JR戸塚駅 徒歩1分
横浜市営地下鉄ブルーライン 戸塚駅 徒歩1分
JR横浜駅から約12分
| 診療時間 | 月 | 火 | 水 | 木 | 金 | 土 | 日 | 祝 |
|---|---|---|---|---|---|---|---|---|
| 9:00~13:00 | / | 休 | ||||||
| 14:30~19:00 | / | 休 |
■=不定期診療、午後は14:00-17:00
※=矯正は月1回、午後は14:00-17:00
休診日:木曜(不定期)・日曜・祝日
最終受付は診療終了時刻の45分前まで