症例集
【インプラント症例13】50代男性
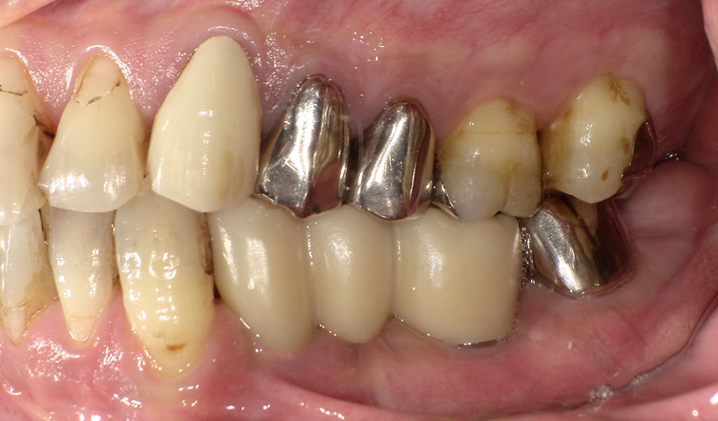
50代男性・藤沢市在住。右下奥歯のブリッジが割れていて、他院にて4本ブリッジをすすめられたがインプラントが長持ちするならということで当院を受診。当院にてインプラント治療。人工歯はジルコニア人工歯。スクリューリテインにて固定しました。
Before1

After1

Before2

After2

治療名称
右下456番インプラント治療
患者の症状
50代男性・藤沢市在住。右下奥歯のブリッジが割れていて、他院にて4本ブリッジをすすめられたがインプラントが長持ちするならということで当院を受診。
治療内容
術前検査(歯周病菌の検査(PCR検査))を行ったところ、Pg菌、Td菌、Tf菌の数値が高かったため、投薬及びクリーニングによる歯周病内科治療を実施。
当院にて、右下5番を抜歯。骨量が少なかったため、半年間骨ができるのを待ち、通常手術にて、右下4番を抜歯後、右下4番,6番の骨にインプラントを埋め込みました。
歯周内科治療終了後、再PCR検査によりPg菌、Td菌、Tf菌の数値が問題ないレベルまで下がったことを確認。
インプラントと骨がしっかり結合するまで術後3ヶ月待ち、インプラントの上に人工の歯を被せる治療を行いました。
治療期間・回数
約10ヶ月間、7回
費用
※自由診療となります
総額770,000円(検査・診断・手術関連処置費用等を含む)
◼️内訳
術前検査(PCR検査):16,500円
(右下4番)抜歯代:11,000円
(右下4番,6番)インプラント埋め込み・上部構造:275,000円/1本×2=550,000円
(右下4,5,6番)ジルコニアブリッジ(3本症例のうち、2本は上記インプラント代に含む):110,000円
歯周内科治療:66,000円
歯周内科治療後の検査(PCR検査):16,500円
リスク・副作用
出血、腫脹、疼痛、神経麻痺、補綴物の脱落、破折、インプラント体の破折、咬合違和感、インプラント周囲炎など
医療法人社団横浜歯友会
戸塚駅前内藤歯科
tel. 045-443-6014
休診日・矯正の日はお電話での対応をしておりません。
〒244-0003
神奈川県横浜市戸塚区戸塚町13 ラピス戸塚3 7F
JR戸塚駅 徒歩1分
横浜市営地下鉄ブルーライン 戸塚駅 徒歩1分
JR横浜駅から約12分
| 診療時間 | 月 | 火 | 水 | 木 | 金 | 土 | 日 | 祝 |
|---|---|---|---|---|---|---|---|---|
| 9:00~13:00 | / | 休 | ||||||
| 14:30~19:00 | / | 休 |
■=不定期診療、午後は14:00-17:00
※=矯正は月1回、午後は14:00-17:00
休診日:木曜(不定期)・日曜・祝日
最終受付は診療終了時刻の45分前まで