症例集
【インプラント症例8】30代女性
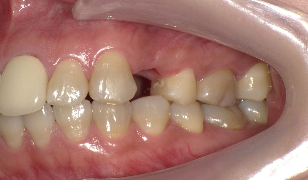
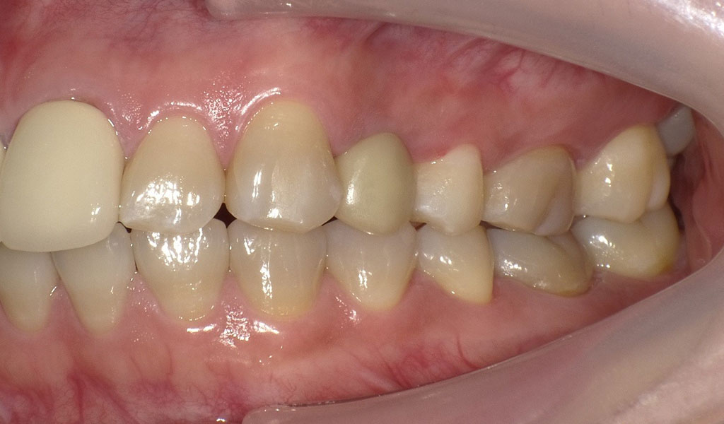
30代女性・横浜市在住。左上4番の詰め物の奥に虫歯ができてしまい、脱離。他院にて相談したがセカンドオピニオンとして当院を受診。当院にて左上4番を抜歯後、インプラント治療。人工歯はジルコニア人工歯。スクリューリテインにて固定しました。
Before1

After1

Before2

After2

治療名称
左上4番インプラント治療
患者の症状
30代女性・横浜市在住。左上4番の詰め物の奥に虫歯ができてしまい、脱離。他院にて相談したがインプラント治療を提案されたため、当院でのセカンドオピニオンを受けるためにご来院されました。
治療内容
術前検査(歯周病菌の検査(PCR検査))を行ったところ、Pg菌、Td菌、Tf菌の数値が高かったため、投薬及びクリーニングによる歯周病内科治療を実施。
左上4番を抜歯後、通常手術にて、左上4番の骨に即時にインプラントを埋め込みました。
歯周内科治療終了後、再PCR検査によりPg菌、Td菌、Tf菌の数値が問題ないレベルまで下がったことを確認。
インプラントと骨がしっかり結合するまで術後3ヶ月待ち、インプラントの上に人工の歯を被せる治療を行いました。
治療期間・回数
約4ヶ月間、6回
費用
※自由診療となります
総額396,000円(検査・診断・手術関連処置費用等を含む)
■内訳
術前検査(PCR検査):16,500円
抜歯代:11,000円
仮歯代:11,000円
インプラント埋め込み・上部構造:275,000円/1本
歯周内科治療:66,000円
歯周内科治療後の検査(PCR検査):16,500円
リスク・副作用
出血、腫脹、疼痛、神経麻痺、補綴物の脱落、破折、インプラント体の破折、咬合違和感、インプラント周囲炎など
医療法人社団横浜歯友会
戸塚駅前内藤歯科
tel. 045-443-6014
休診日・矯正の日はお電話での対応をしておりません。
〒244-0003
神奈川県横浜市戸塚区戸塚町13 ラピス戸塚3 7F
JR戸塚駅 徒歩1分
横浜市営地下鉄ブルーライン 戸塚駅 徒歩1分
JR横浜駅から約12分
| 診療時間 | 月 | 火 | 水 | 木 | 金 | 土 | 日 | 祝 |
|---|---|---|---|---|---|---|---|---|
| 9:00~13:00 | / | 休 | ||||||
| 14:30~19:00 | / | 休 |
■=不定期診療、午後は14:00-17:00
※=矯正は月1回、午後は14:00-17:00
休診日:木曜(不定期)・日曜・祝日
最終受付は診療終了時刻の45分前まで