症例集
【インプラント症例5】20代男性
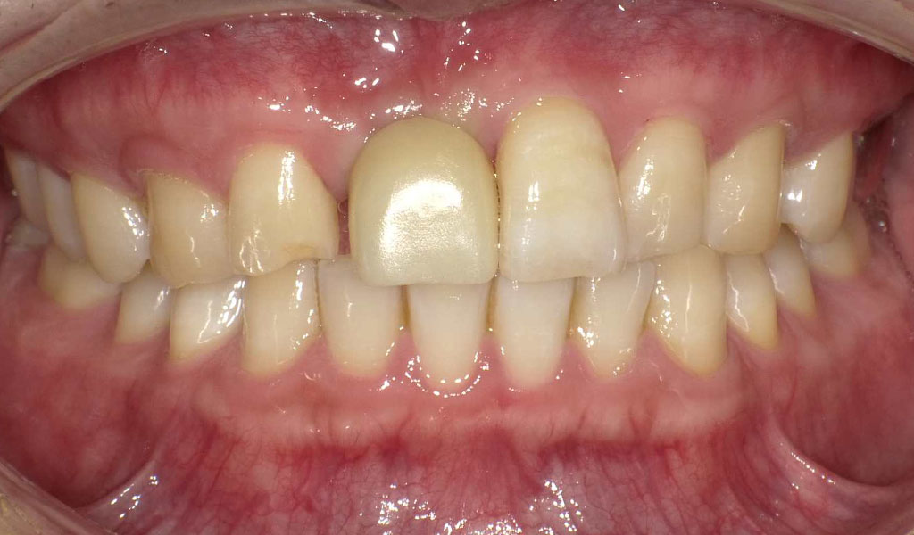
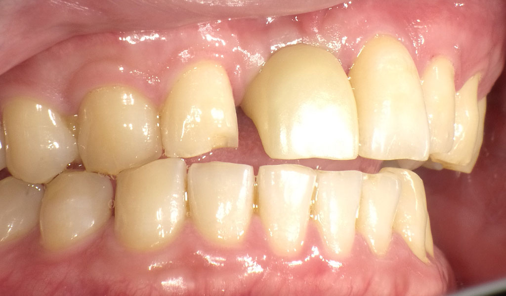
20代男性・厚木市在住。右上1番、歯根破折により他院にて抜歯後、当院にてインプラント治療。人工歯はジルコニア人工歯。スクリューリテインにて固定しました。
Before1

After1

Before2

After2

唇をかぶせた場合

治療名称
右上1番インプラント治療
患者の症状
20代男性。横浜市以外から通院。右上1番、歯根破折により他院にて抜歯後、当院にてインプラント治療を希望されてご来院されました。
治療内容
CTによる診断を行ったところ、抜歯後2ヶ月で骨が薄かったため、半年後受診するようお伝え。半年後、骨量に問題無いことを確認。また術前検査(歯周病菌の検査(PCR検査))を行い、Pg菌、Td菌、Tf菌の数値は問題ないことを確認し、通常手術にて、右上1番の骨にインプラントを埋め込みました。歯肉を切開したため、術後1ヶ月後抜糸を行いました。 インプラントと骨がしっかり結合するまで術後3ヶ月待ち、インプラントの上に人工の歯を被せる治療を行いました。歯科矯正は希望されず、欠損部の幅がかなり広かったので患者さんと話し合い、写真のような歯をもって落とし所としました。唇を被せるとあまり左右差が目立たない印象です。
治療期間・回数
約8ヶ月間、6回
費用
※自由診療となります
総額291,500円(検査・診断・手術関連処置費用等を含む)
■内訳
術前検査(PCR検査):16,500円
インプラント埋め込み・上部構造:275,000円/1本
リスク・副作用
出血、腫脹、疼痛、神経麻痺、補綴物の脱落、破折、インプラント体の破折、 咬合違和感、インプラント周囲炎など
医療法人社団横浜歯友会
戸塚駅前内藤歯科
tel. 045-443-6014
休診日・矯正の日はお電話での対応をしておりません。
〒244-0003
神奈川県横浜市戸塚区戸塚町13 ラピス戸塚3 7F
JR戸塚駅 徒歩1分
横浜市営地下鉄ブルーライン 戸塚駅 徒歩1分
JR横浜駅から約12分
| 診療時間 | 月 | 火 | 水 | 木 | 金 | 土 | 日 | 祝 |
|---|---|---|---|---|---|---|---|---|
| 9:00~13:00 | / | 休 | ||||||
| 14:30~19:00 | / | 休 |
■=不定期診療、午後は14:00-17:00
※=矯正は月1回、午後は14:00-17:00
休診日:木曜(不定期)・日曜・祝日
最終受付は診療終了時刻の45分前まで