症例集
【審美症例1】50代男性
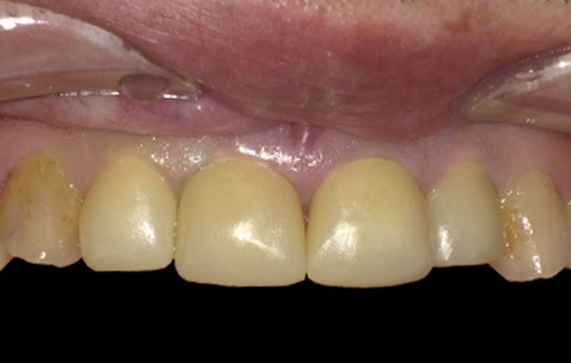
50代男性・横浜市在住。上前歯4本のジルコニアクラウンによる審美治療。
Before

After

治療名称
上前歯4本のジルコニアクラウンによる審美治療
患者の症状
50代男性。歯の治療痕、着色による歯の審美治療を希望されてご来院されました。連結冠ではなく単冠による治療を強く希望されていました。連結冠は息が抜けないので違和感が大きいとのこと。
治療内容
上顎の前歯4本のクラウンを除去して、形成を行いました。その後、仮歯をつけ、普段の生活を行なっていただき、噛み合わせや色調を患者さんにヒアリングを行い、調整を行なった上で、光学印象(プライムスキャンによる)型取りを行いました。光学印象のデータを元にデジタル加工を行い、ジルコニア人工歯を作成し、セットを行いました。
治療期間・回数
約2ヶ月間、4回 ※仮歯による調整で2回来院
費用
※自由診療となります
総額:660,000円(税込)
■内訳
ジルコニアボンドクラウン:165,000円(税込)/1本×4
リスク・副作用
補綴物の脱落・欠落、咬合違和感、色調補正
医療法人社団横浜歯友会
戸塚駅前内藤歯科
tel. 045-443-6014
休診日・矯正の日はお電話での対応をしておりません。
〒244-0003
神奈川県横浜市戸塚区戸塚町13 ラピス戸塚3 7F
JR戸塚駅 徒歩1分
横浜市営地下鉄ブルーライン 戸塚駅 徒歩1分
JR横浜駅から約12分
| 診療時間 | 月 | 火 | 水 | 木 | 金 | 土 | 日 | 祝 |
|---|---|---|---|---|---|---|---|---|
| 9:00~13:00 | / | 休 | ||||||
| 14:30~19:00 | / | 休 |
■=不定期診療、午後は14:00-17:00
※=矯正は月1回、午後は14:00-17:00
休診日:木曜(不定期)・日曜・祝日
最終受付は診療終了時刻の45分前まで