審美歯科・セラミック治療の症例
目次
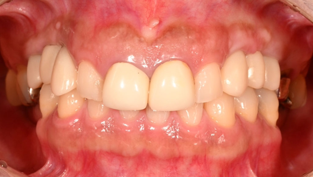
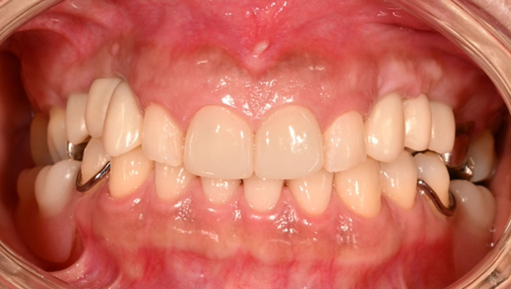
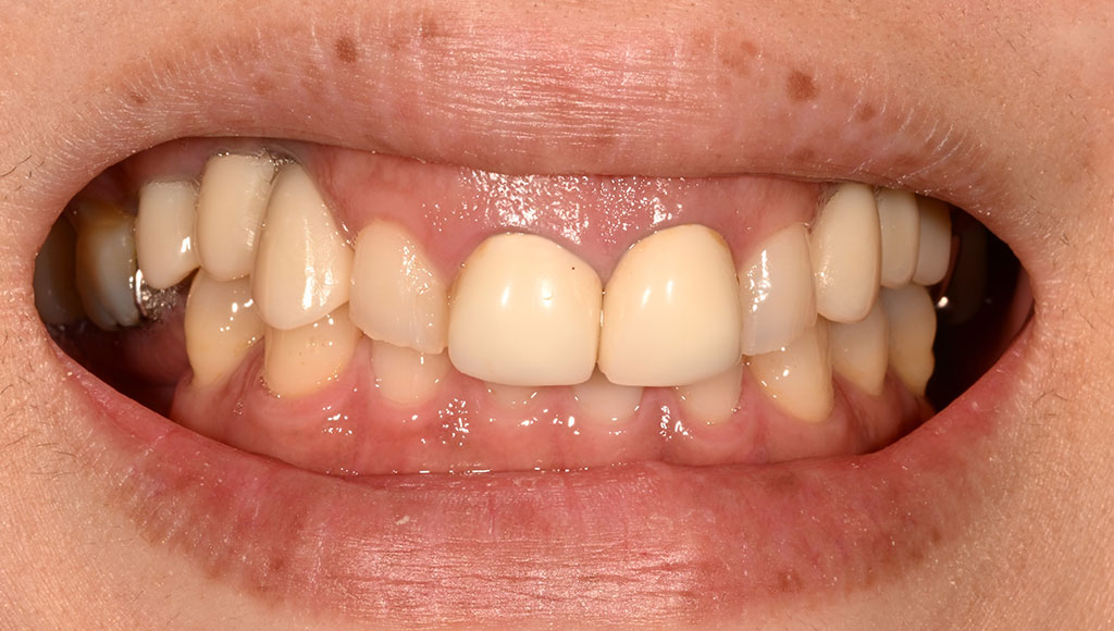
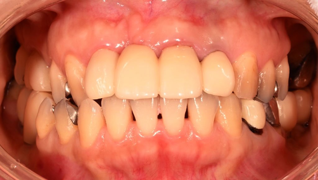
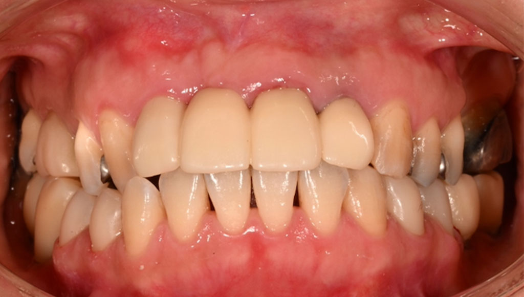
前歯(左1番右1番)ジルコニアクラウンによる審美治療
Before1

After1

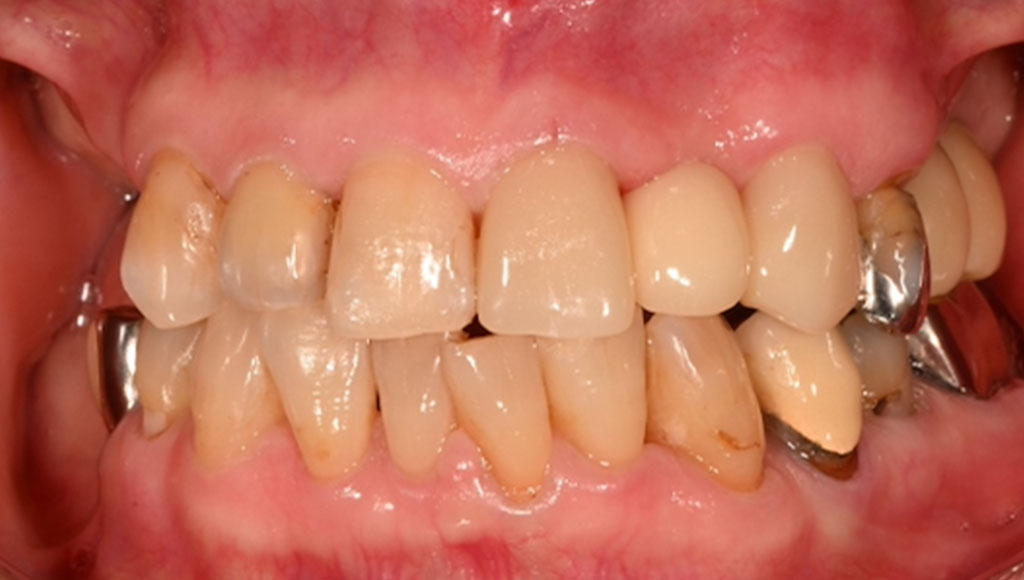
Before2

After2

患者様の主訴
40代女性。横浜市在住。左上1番右上1番のクラウンに着色があり審美的に問題を抱えていたため、ご来院されました。
診断結果
ジルコニアクラウンを装着するために元のブリッジを外し、歯の形成を行いジルコニアクラウンをセット
治療内容
ジルコニアクラウンを装着するために元のクラウンを外し、歯の形成を行い光学印象(プライムスキャンによる)型取りを行いました。光学印象のデータを元に当院の院内技工室にてデジタル加工を行い、ジルコニアクラウンを作成し、セットを行いました。
治療期間
2回
治療費用
総額:330,000円(税込)
◼️内訳
ジルコニアクラウン(前歯):150,000円(税込)/1本×2本
光学印象(プライムスキャン)
リスク・副作用
補綴物の脱落・欠落、咬合違和感、色調補正
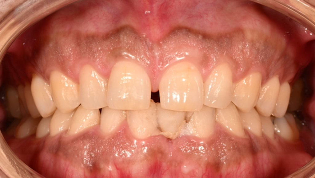
左下1番ダイレクトブリッジによる審美治療
Before

After

患者様の主訴
40代男性。東京都北区在住。左下1番、他院にて抜歯後、仮の歯をつけたが、当院のダイレクトブリッジ治療に興味がありご来院。
診断結果
患者様がインプラントや大きく削る治療を希望されなかったため、接着する両隣の歯が天然歯で動揺がないか確認し、ダイレクトブリッジによる低侵襲な治療を選択しました。
治療内容
元の仮歯を外し、白い材料(コンポジットレジン)を用いてダイレクトブリッジを作製し、欠損していた部分を補いました。できるだけ歯を削らず、自然な見た目になるよう仕上げています。
治療期間
2回
治療費用
総額:110,000円(税込)
リスク・副作用
補綴物の脱落・欠落、咬合違和感、色調補正
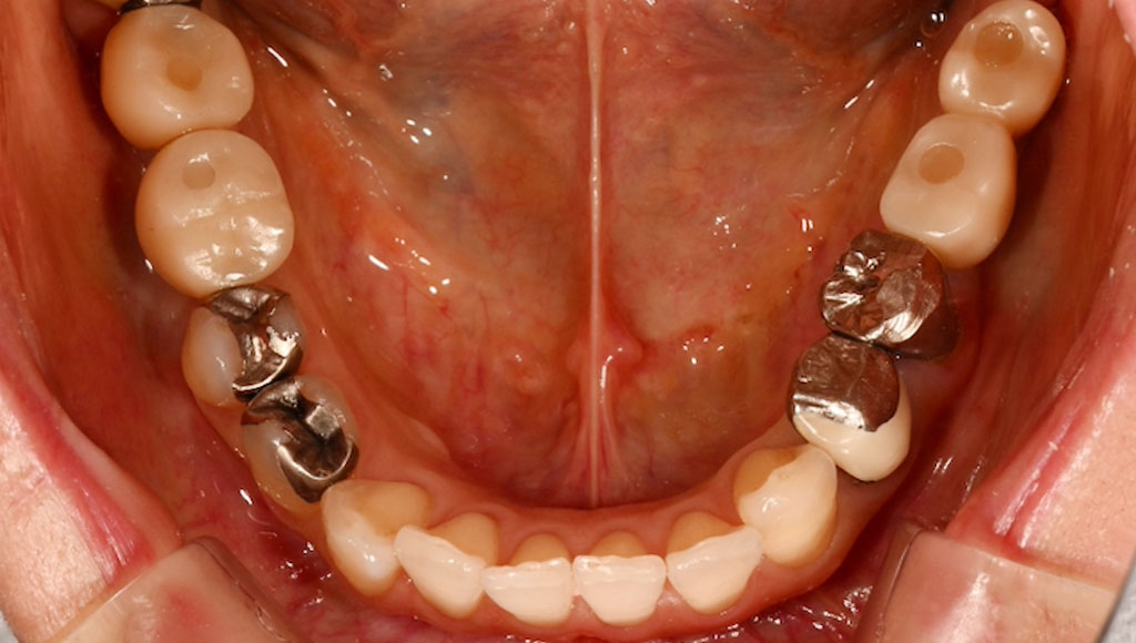
小臼歯(左下45番、右下45番)ジルコニアクラウンによる審美治療
Before1

After1

Before2

After2

患者様の主訴
50代女性。横浜市在住。左下45番、右下45番の奥歯の銀歯が見た目に気になりご来院。
診断結果
左下45番、右下45番のインレーを外し、歯の形成を行いジルコニアクラウンをセット
治療内容
ジルコニアクラウンを装着するために元のインレーを外し、歯の形成を行い光学印象(プライムスキャンによる)型取りを行いました。光学印象のデータを元に当院の院内技工室にてデジタル加工を行い、ジルコニアクラウンを作成し、セットを行いました。
治療期間
2回
治療費用
総額:440,000円(税込)
◼️内訳
ジルコニアクラウン:110,000円(税込)/1本×4本
光学印象(プライムスキャン)
リスク・副作用
補綴物の脱落・欠落、咬合違和感、色調補正
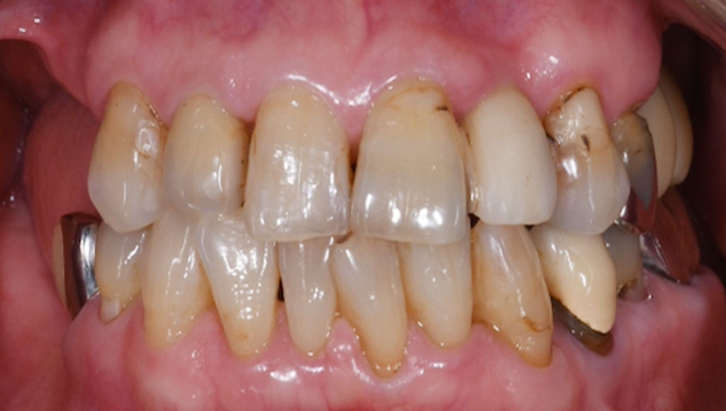
前歯(右123番)ジルコニアブリッジによる審美治療
Before

After

セットしたジルコニアブリッジ

患者様の主訴
70代女性。横浜市在住。右上123番のブリッジが脱離し、ブリッジが合わないため、ジルコニアかインプラントにするか迷い、来院。
診断結果
ジルコニアブリッジを装着するために元のブリッジを外し、歯の形成を行いジルコニアブリッジをセット
治療内容
ジルコニアブリッジを装着するために元のブリッジを外し、歯の形成を行い光学印象(プライムスキャンによる)型取りを行いました。光学印象のデータを元に当院の院内技工室にてデジタル加工を行い、ジルコニアブリッジを作成し、セットを行いました。
治療期間
2回
治療費用
総額:330,000円(税込)
◼️内訳
ジルコニアクラウン:110,000円(税込)/1本×3本
光学印象(プライムスキャン)
リスク・副作用
補綴物の脱落・欠落、咬合違和感、色調補正
医療法人社団横浜歯友会
戸塚駅前内藤歯科
tel. 045-443-6014
休診日・矯正の日はお電話での対応をしておりません。
〒244-0003
神奈川県横浜市戸塚区戸塚町13 ラピス戸塚3 7F
JR戸塚駅 徒歩1分
横浜市営地下鉄ブルーライン 戸塚駅 徒歩1分
JR横浜駅から約12分
| 診療時間 | 月 | 火 | 水 | 木 | 金 | 土 | 日 | 祝 |
|---|---|---|---|---|---|---|---|---|
| 9:00~13:00 | / | 休 | ||||||
| 14:30~19:00 | / | 休 |
■=不定期診療、午後は14:00-17:00
※=矯正は月1回、午後は14:00-17:00
休診日:木曜(不定期)・日曜・祝日
最終受付は診療終了時刻の45分前まで